Clinico-pathologic study of 252 resected thymomas with emphasis on atypical A and AB group: a single institution experience
Highlight box
Key findings
• Atypical type A and AB could be defined as tumors with ≥20 mitotic figures per 2 mm2.
What is known and what is new?
• Type A thymomas are regarded as tumors with a histologically bland appearance and a favorable clinical course.
• When thymomas were divided into 3 prognostic groups, i.e., a favorable prognosis group (typical A/AB), an intermediate prognostic group (poor prognostic subtypes without necrosis) and a poor prognostic group (poor prognostic subtypes with necrosis), this model was prognostically important in AJCC or Masaoka stage I–II).
What is the implication, and what should change now?
• Atypical type A and AB could be defined as tumors with ≥20 mitotic figures per 2 mm2.
Introduction
Thymomas are thymic epithelial tumors characterized by the presence of organotypical features similar to those seen in either the active or the senescent thymic gland. According to the World Health Organization (WHO) classification, thymomas are divided into type A, type B, and type AB (1). Type B is further subdivided into types B1, B2, and B3. The 3 types of type B thymomas have been found to correlate with clinical outcome in several studies and are therefore thought to represent an increasing stage of “tumor progression” or tumor grade. Type A thymomas are regarded as being generally associated with a histologically bland appearance and a favorable clinical outcome. In 2012, 13 cases of type A thymomas with atypical features, including cytologic atypia, increased mitotic activity and necrosis, were described (2). Since the publication, several articles regarding atypical features in type A have emerged but so far, a definition of atypia and its relation to clinical behavior have yet to be established (3-5). In this study, we investigated a variety of clinical and pathologic features in resected thymomas to find a correlation between atypia and clinical outcome in type A and AB groups. The goal was to attempt to define atypia in this thymoma subgroup. We present this article in accordance with the STROBE reporting checklist (available at https://med.amegroups.com/article/view/10.21037/med-24-22/rc).
Methods
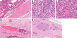
Thymomas were retrieved from the histopathology archives at St Thomas’s Hospital during the period from 1997 to 2017. Inclusion criteria for the study were a thymoma treated by resection for curative intent and availability of histologic slides. A total of 255 thymomas from 250 patients were collected and analyzed. Local institutional review board (IRB) ethical consent was not required for this study, but local hospital audit committee consent (Guy’s and St Thomas’ NHS Foundation Trust, REC reference 18/EE/0025) was obtained. The study conformed to the provisions of the Declaration of Helsinki and its subsequent amendments. Individual consent for this retrospective analysis was waived. Hematoxylin and eosin (H&E) stained sections from resected tumors were reviewed, and according to the 2021 World Health Organization classification of thymic tumors (1). In general, a resected tumor was sliced and submitted entirely if it was <3 cm, and submitted 1 section per cm if >3 cm. The number of tumor slides ranged 2 to 26, with a median of 7. Two senior histopathologists specialized in thoracic pathology reviewed all the cases individually, and when there were discrepancies in thymoma histotype and other features, the cases were reviewed with dual-head microscope for consensus. Mitotic count was evaluated by the same two histopathologists using dualhead microscope. A variety of clinical and histopathologic parameters were recorded and analyzed. The mitotic count in 2 mm2, that is, 8 high-power fields (×400) by NIKON Eclipse (10× eyepiece and 40× objective: 0.25 mm2), was evaluated in areas of highest mitotic density (hotspot) in type A and AB thymomas. In type AB thymomas, the mitotic count was evaluated in lymphocyte-poor areas, as it is difficult to distinguish between mitotic figures of the tumor cells and of the lymphocytes. The evaluation of vascular invasion followed the protocol routinely used for thyroid follicular neoplasms, i.e., a vessel within or beyond capsule that contains a tumor covered with endothelium, attached to the wall or with thrombus. Low-grade cellular atypia was defined as uniform nuclei in size and shape, while high-grade atypia was defined as enlarged nuclei of varied sizes and shapes, often accompanied by conspicuous nucleoli. Predominant pattern was assigned in each case. Microscopic photographs of examples of necrosis, cytologic atypia and vascular invasion are demonstrated in Figure 1.
Statistical analysis
The statistical analysis was performed using Statistical Package for the Social Sciences for Windows version 22 (SPSS, Inc., Chicago, IL, USA). Chi-square test was used to compare categorical variables. Progression-free survival (PFS) was defined as the time from surgery to disease progression or death from disease. Disease-specific survival (DSS) was defined as the time from surgery to death from disease. Median survival times were calculated by the Kaplan-Meier estimator method and compared by log-rank test. Univariate and multivariate Cox proportional hazard models were used to assess the prognostic significance of baseline parameters. The forward selection procedure with a selection criterion of P<0.10 was used in multivariable Cox proportional hazard models. The parameters examined were age (median ≥63 vs. <63 years), sex (male vs. female), American Joint Committee on Cancer (AJCC) stage (III–IV vs. I–II), Masaoka stage (III–IV vs. I–II), mitotic count as continuous variable, cellular atypia (high vs. low), vascular invasion (present vs. absent), necrosis (present vs. absent), tumour size (>50 vs. ≤50 mm), surgical margin (R1 vs. R0), paraneoplastic syndrome (present vs. absent), neoadjuvant treatment (yes vs. no) and thymoma subtype (A/AB vs. B1/2 vs. B3). Please note that both TNM 8th and Masaoka stages were assigned to all cases while reviewing the clinical charts, macroscopic descriptions in the original histology reports, and glass slides. All analyses were two-tailed, and p values of <0.05 were considered significant. The Bonferroni correction was applied when appropriate.
Results
The study included 247 patients who underwent surgical resection of thymoma. Median age was 63 years (range, 14–84 years). Median tumor size was 65 mm (range, 10–300 mm). The AB subtype (41.2%) was the most common, followed by B2 (18.8%), A (17.2%), B3 (12.8%) and B1 (8.8%). The basic demographic and tumor characteristics according to the thymoma subtype are demonstrated in Table 1. There was a substantial difference in age distribution between different thymoma subtypes. The majority of patients with A and AB subtypes were above 63 years old, whereas the majority of patients with subtypes B1, B2 and B3 were below 63 years old. Subtypes B1-B2-B3 were often of an advanced stage compared to subtypes A and AB. Additionally, patients with subtypes B1-B2-B3 more frequently had microscopically positive surgical resection margins (R1) or macroscopic residual disease (R2). In contrast, vascular invasion was more often seen in subtype A and necrosis in subtype B1. Finally, AB group was characterized by a larger size than the other subtypes. Paraneoplastic manifestations were reported in 71 (28.4%) patients. These included myasthenia gravis in 56 (22.4%) patients, 5 with pure red cell aplasia (1 co-existing with myasthenia gravis and 1 with Goods syndrome), 2 with systemic lupus erythematosus, 3 with pemphigus vulgaris (1 co-existing with myasthenia gravis), 3 with Goods syndrome, 2 with idiopathic thrombocytopenia, 1 autoimmune hepatitis, 1 polymyalgia, and 1 multi-organ autoimmunity. Subtypes B2 and B3 had a higher incidence of paraneoplastic phenomena. Neoadjuvant treatment was given in 26 (10.4 %) patients; 25 received chemotherapy and 1 radiotherapy. Neoadjuvant chemotherapy was administered in 10 (31.3%) of the patients with B3 subtype, in 12 (17.6%) of B1/2 and only 3 (2.0%) of A/AB (P<0.001).
Table 1
| Clinico-pathologic features | Thymoma subtype, n (%) | Total, n (%) | P value | ||||
|---|---|---|---|---|---|---|---|
| A | AB | B1 | B2 | B3 | |||
| Age (years) | <0.001 | ||||||
| <63 | 8 (18.6) | 48 (46.6) | 13 (59.1) | 30 (63.8) | 20 (62.5) | 119 (48.2) | |
| ≥63 | 35 (81.4) | 55 (53.4) | 9 (40.9) | 17 (36.2) | 12 (37.5) | 128 (51.8) | |
| Sex | 0.34 | ||||||
| Female | 20 (46.5) | 61 (59.2) | 9 (40.9) | 22 (46.8) | 15 (46.9) | 127 (51.4) | |
| Male | 23 (53.5) | 42 (40.8) | 13 (59.1) | 25 (53.2) | 17 (53.1) | 120 (48.6) | |
| AJCC stage | <0.001 | ||||||
| I | 38 (88.4) | 101 (98.1) | 16 (72.7) | 33 (70.2) | 18 (56.3) | 209 (83.6) | |
| II | 1 (2.3) | 0 | 1 (4.5) | 4 (8.5) | 1 (3.1) | 7 (2.8) | |
| IIIA | 4 (9.3) | 1 (1.0) | 4 (18.2) | 6 (12.8) | 6 (18.8) | 21 (8.4) | |
| IIIB | 0 | 0 | 0 | 0 | 1 (3.1) | 1 (0.4) | |
| IVA | 0 | 1 (1.0) | 1 (4.5) | 4 (8.5) | 6 (18.8) | 12 (4.8) | |
| Masaoka stage | <0.001 | ||||||
| I | 16 (37.2) | 48 (46.6) | 2 (9.1) | 5 (10.6) | 3 (9.4) | 76 (30.4) | |
| IIA | 19 (44.2) | 51 (49.5) | 14 (63.6) | 22 (46.8) | 13 (40.6) | 120 (48.0) | |
| IIB | 3 (7.0) | 2 (1.9) | 0 | 5 (10.6) | 2 (6.3) | 12 (4.8) | |
| III | 5 (11.6) | 1 (1.0) | 5 (22.7) | 11 (23.4) | 7 (21.9) | 29 (11.6) | |
| IVA | 0 | 1 (1.0) | 1 (4.5) | 4 (8.5) | 6 (18.8) | 12 (4.8) | |
| IVB | 0 | 0 | 0 | 0 | 1 (3.1) | 1 (0.4) | |
| Vascular invasion | 0.02 | ||||||
| Absent | 36 (83.7) | 99 (96.1) | 22 (100.0) | 47 (100.0) | 30 (93.8) | 237 (94.8) | |
| Present | 7 (16.3) | 4 (3.9) | 0 | 0 | 2 (6.3) | 13 (5.2) | |
| Necrosis | 0.02 | ||||||
| Absent | 31 (72.1) | 85 (82.5) | 13 (59.1) | 41 (87.2) | 28 (87.5) | 199 (79.6) | |
| Present | 12 (27.9) | 18 (17.5) | 9 (40.9) | 6 (12.8) | 4 (12.5) | 51 (20.4) | |
| Mitotic count (per 2 mm2) | 0.16 | ||||||
| 0–4 | 19 (44.2) | 70 (68.0) | NA | NA | NA | NA | |
| 5–9 | 11 (25.6) | 20 (19.4) | NA | NA | NA | NA | |
| 10–19 | 10 (23.2) | 10 (9.7) | NA | NA | NA | NA | |
| ≥20 | 3 (7.0) | 3 (2.9) | NA | NA | NA | NA | |
| Tumor size (mm) | 0.04 | ||||||
| ≤50 | 18 (41.9) | 23 (22.3) | 10 (45.5) | 18 (38.3) | 13 (40.6) | 82 (33.2) | |
| >50 | 25 (58.1) | 80 (77.7) | 12 (54.5) | 29 (61.7) | 19 (59.4) | 165 (66.8) | |
| Surgical margin | <0.001 | ||||||
| R0 | 35 (81.4) | 94 (91.3) | 13 (59.1) | 27 (57.4) | 15 (46.9) | 187 (74.8) | |
| R1 | 8 (18.6) | 9 (8.7) | 9 (40.9) | 15 (31.9) | 15 (46.9) | 56 (22.4) | |
| R2 | 0 | 0 | 0 | 5 (10.6) | 2 (6.3) | 7 (2.8) | |
| Paraneoplastic syndrome | <0.001 | ||||||
| Absent | 35 (81.4) | 81 (78.6) | 19 (86.4) | 22 (46.8) | 19 (59.4) | 179 (71.6) | |
| Present | 8 (18.6) | 22 (21.4) | 3 (13.6) | 25 (53.2) | 13 (40.6) | 71 (28.4) | |
| Total | 43 (100.0) | 103 (100.0) | 22 (100.0) | 47 (100.0) | 32 (100.0) | 250 (100.0) | |
AJCC, American Joint Committee on Cancer; NA, not assessed.
Of 247 patients included in the study, 242 (98%) were followed for a median time of 56 months (range, 2–254 months). During this time, 27 (10.9%) patients progressed/relapsed and 62 (25.1%) died: 15 (6.1%) from disease and 47 (19.0%) from other causes. Five-year PFS was 88% and 5-year DSS was 94%. Prognostic factors are shown in Table 2. As shown in Figure 2, PFS of patients with A and AB was similar and better than B1, B2 and B3 subtypes. B1 and B2 subtypes also had similar PFS. Thus, A and AB subtypes and B1 and B2 subtypes were analyzed as single subgroups. A simplified subtype classification was created, i.e., A/AB, B1/2 and B3 subtypes for further analysis.
Table 2
| Covariates | HR | 95% CI | P value |
|---|---|---|---|
| Age (≥63 vs. <63 years†) | 0.41 | 0.18–0.93 | 0.03 |
| Sex (male vs. female) | 1.11 | 0.52–2.37 | 0.78 |
| AJCC stage (III–IV vs. I–II) | 9.04 | 4.18–19.54 | <0.001 |
| Masaoka stage (III–IV vs. I–II) | 6.68 | 3.11–14.34 | <0.001 |
| Vascular invasion (present vs. absent) | 1.68 | 0.40–7.10 | 0.48 |
| Necrosis (present vs. absent) | 2.80 | 1.30–6.04 | 0.009 |
| Size (>50 vs. ≤50 mm) | 1.46 | 0.16–13.12 | 0.74 |
| Surgical margin | |||
| R1 vs. R0 | 7.09 | 3.19–15.77 | <0.001 |
| R2 vs. R0 | 4.00 | 0.51–31.55 | 0.19 |
| Thymoma subtype | |||
| B1/2 vs. A/AB | 8.01 | 2.85–22.49 | <0.001 |
| B3 vs. A/AB | 9.35 | 3.01–29.02 | <0.001 |
| B1/2 vs. B3 | 0.86 | 0.36–2.05 | 0.73 |
| Paraneoplastic syndrome (present vs. absent) | 2.19 | 1.03–4.69 | 0.04 |
| Neoadjuvant treatment (yes vs. no) | 10.20 | 4.72–22.05 | <0.001 |
†, median age was 63 years. AJCC, American Joint Committee on Cancer; CI, confidence interval; HR, hazard ratio.
Prognostic factors within the A/AB subgroup were analyzed to identify patients with poor characteristics, as shown in Table 3. Multivariate Cox proportional hazard models demonstrated that mitotic count was the only independent prognostic factor as continuous variable [hazard ratio (HR) 1.15, 95% confidence interval (CI): 1.07–1.24, P<0.001]. A/AB cases were classified by mitotic count in 4 groups (1–4, 5–9, 10–19 and ≥20 mitotic figures per 2 mm2). As shown in Figure 3, patients with mitotic count 1–4, 5–9 and 10–19 had similarly favorable PFS, while those with ≥20 mitotic figures per 2 mm2 had remarkably worse outcome. Therefore, A/AB patients were classified as typical if mitotic count was 0–19/2 mm2 and atypical if ≥20 mitotic figures per 2 mm2. PFS curves of patients with typical A/AB, atypical A/AB, B1/2, B3 and rare subtypes are shown in Figure 4.
Table 3
| Covariates | HR | 95% CI | P value |
|---|---|---|---|
| Age (≥63 vs. <63 years†) | 2.70 | 0.30–24.20 | 0.37 |
| Sex (male vs. female) | 0.29 | 0.03–2.55 | 0.26 |
| AJCC stage (III–IV vs. I–II) | 9.91 | 1.02–96.00 | 0.048 |
| Masaoka stage (III–IV vs. I–II) | 7.72 | 0.80–74.36 | 0.08 |
| Mitotic count (increasing) | 1.14 | 1.07–1.21 | <0.001 |
| Cellular atypia (high vs. low) | 15.87 | 1.65–152.65 | 0.02 |
| Vascular invasion (present vs. absent) | 3.57 | 0.39–32.37 | 0.26 |
| Necrosis (present vs. absent) | 2.54 | 0.42–15.23 | 0.31 |
| Size (>50 vs. ≤50 mm) | 2.12 | 0.23–19.30 | 0.50 |
| Surgical margin (R1 vs. R0) | 6.04 | 1.00–36.44 | 0.050 |
| Paraneoplastic syndrome (present vs. absent) | 0.90 | 0.10–8.03 | 0.92 |
†, median age was 63 years. AJCC, American Joint Committee on Cancer; CI, confidence interval; HR, hazard ratio.
Multivariate Cox proportional hazard models were performed in the entire population, including the new subtype classification, as shown in Table 4. The strongest prognostic factors were the new subtype classification, the presence of necrosis, the status of surgical margins and neoadjuvant treatment. For simplicity, the thymoma subtypes were classified into favorable prognosis (typical A/AB, unusual subtypes) and poor prognosis subtypes (atypical A/AB, B1/2, B3) and were combined with the presence or absence of necrosis in a prognostic model. Although necrosis was present at the same rate in the favorable prognosis (29/143 cases, 20.3%) and the poor prognosis subtypes (22/107, 20.6%, P=1.000), it was associated with shorter PFS only in the poor prognosis subtypes (P=0.003) and not in the favorable prognosis group (P=0.602). Therefore, the new prognostic classification included 3 groups, a favorable prognosis group (typical A/AB, rare subtypes), an intermediate prognostic group (poor prognostic subtypes without necrosis) and a poor prognostic group (poor prognostic subtypes with necrosis), as shown in the respective PFS curves in Figure 5. The proposed classification was prognostic only in early clinical stages (AJCC or Masaoka stage I–II, difference of PFS in each prognostic group was statistically significant (P<0.001, respectively) (Figure 6A,6B). In contrast, the model was not prognostically important in advanced AJCC or Masaoka stages (III–IV) (P=0.35 and P=0.23, respectively), probably because in these stages typical A/AB subtype are under-represented (Figure 6C,6D). Nevertheless, none of the patients with typical A/AB subtype in advanced stage resulted in progression.
Table 4
| Covariates | HR | 95% CI | P value |
|---|---|---|---|
| Age (≥63 vs. <63 years) | 1.20 | 0.42–3.44 | 0.73 |
| Sex (male vs. female) | 0.82 | 0.32–2.12 | 0.82 |
| AJCC stage (III–IV vs. I–II) | 0.88 | 0.27–2.86 | 0.84 |
| Vascular invasion (present vs. absent) | 0.14 | 0.02–0.99 | 0.048 |
| Necrosis (present vs. absent) | 5.73 | 1.85–17.74 | 0.002 |
| Size (>50 vs. ≤50 mm) | 1.39 | 0.40–4.86 | 0.61 |
| Surgical margin (R1 vs. R0) | 3.18 | 0.93–10.83 | 0.06 |
| Paraneoplastic syndrome (present vs. absent) | 3.81 | 1.38–10.51 | 0.010 |
| Neoadjuvant treatment (yes vs. no) | 9.15 | 2.79–29.98 | <0.001 |
| Thymoma subtype | |||
| Atypical vs. typical A/AB | 1,636.52 | 113.92–23,508.79 | <0.001 |
| B1/2 vs. typical A/AB | 23.38 | 2.61–209.79 | 0.005 |
| B3 vs. typical A/AB | 33.65 | 3.24–349.86 | 0.003 |
AJCC, American Joint Committee on Cancer; CI, confidence interval; HR, hazard ratio.
Discussion
Among all thymoma subtypes, type A and AB are regarded as a clinically indolent group, and although both represent separate subtype in the WHO classification scheme, they share a number of clinical, pathological and genetic features, including favorable behavior, infrequent association with myasthenia gravis, spindle cell morphology and GTF2I mutation. Until recently, both subtypes were regarded as being clinically benign and the majority of the literature had described no atypia or no/rare mitotic activity in those subtypes (6-8). However, a small subset of type A and AB thymomas present at stage IV, with the reported frequency being 1.4% (9) and 1.6% (10). In a recent worldwide database, approximately 1% of 443 patients with type A thymoma had stage IVb disease (Masaoka’s staging system) (11,12). These data suggest that a small proportion of type A and AB thymomas may be biologically malignant; therefore, type A and AB thymomas cannot be considered to be benign neoplasms.
Approximately 10 years ago, the late Professor Juan Rosai and one of the authors in the current study reported a series of type A thymoma with atypical features, including increased mitotic activity, necrosis and cellular atypia, to expand the morphological spectrum of this subtype and to describe that not all type A thymomas were bland in appearance (2). Since then, several published articles, most of which are case reports, have been added to the literature to support the existence of atypical type A thymoma (4,13-21). However, histopathologic definition of atypical type A thymoma in relation to the prognostic significance and the clinical and therapeutic implications has yet to be established (4). In type A group, the presence of necrosis was correlated with advanced stage at the time of surgery (5) and an increased ratio of recurrence and extrathoracic metastases (22). According to one study, there was no significant difference between the median mitotic count of stage I thymomas and that of stage II–IV thymomas based on Masaoka-Koga staging system (5). Nuclear atypia was not associated with increasing stage of disease (5). One series of five type A thymomas with distant metastases (Masaoka stage IVb) demonstrated that metastases could occur in the absence of atypical histological features, as three of their five cases were ordinary type A thymomas; and that metastatic cases had a tendency to show slightly genetic instability than non-metastatic counterparts (4).
Our study demonstrated that in multivariate Cox proportional hazard models, mitotic count was the only independent prognostic factor as a continuous variable (HR 1.15, 95% CI: 1.07–1.24, P<0.001). When A/AB cases were classified by mitotic count into 4 groups (1–4, 5–9, 10–19 and ≥20 mitotic figures per 2 mm2), patients with mitotic count 1–4, 5–9 and 10–19 had similarly favorable PFS, but those with ≥20 mitotic figures per 2 mm2 had remarkably worse outcomes. Therefore, A/AB thymomas are classified as typical if mitotic count was 0–19/2 mm2 and atypical if ≥20 mitotic figures per 2 mm2.
The study also demonstrated that the strongest prognostic factors were the proposed subtype classification (i.e., the atypical A and AB incorporated into the WHO scheme), the presence of necrosis, the status of surgical margins and neoadjuvant treatment. For practical purposes, the thymoma subtypes were classified into favorable prognosis (typical A/AB) and poor prognosis histological subtypes (atypical A/AB, B1/2, B3) and were combined with the presence or absence of necrosis in a prognostic model. This model included 3 prognostic groups: a favorable prognosis group (typical A/AB), an intermediate prognostic group (poor prognostic subtypes without necrosis) and a poor prognostic group (poor prognostic subtypes with necrosis). In AJCC or Masaoka stage I–II, the model was prognostically important while in advanced AJCC or Masaoka stages (III–IV) this model did not work.
Our study revealed that neoadjuvant treatment was an unfavorable factor, which was not expected, as some studies showed favorable outcomes. As complete resection is pivotal for improving the prognosis of thymomas, induction therapy is increasingly performed in locally advanced disease in order to downstage the tumor and make it amenable to surgical resection. Since thymomas are uncommon, in the majority of studies, there is obvious selection bias with a shrinking denominator, and the level of evidence is restricted in most publications (23). Furthermore, some studies revealed no apparent treatment-related histologic response (24). Further studies are required to establish the optimal protocol.
High mitotic count seems to be a rare occurrence in thymoma, including type A and AB, and in our study, ≥20 mitotic figures per 2 mm2 was seen in only 4% of type A and B (6/151 tumors). As such, this cut-off value was based on a small number of cases, although the results were supported by multivariate analysis. A further study with a large number of cases is needed to verify our data.
Conclusions
In summary, our study demonstrated that type A and AB thymomas with ≥20 mitotic figures per 2 mm2 were associated with poorer outcomes, therefore, the mitotic count of 20/2 mm2 may serve as a cut-off value to divide type A/AB and atypical A/AB subtypes.
Acknowledgments
None.
Footnote
Reporting Checklist: The authors have completed the STROBE reporting checklist. Available at https://med.amegroups.com/article/view/10.21037/med-24-22/rc
Data Sharing Statement: Available at https://med.amegroups.com/article/view/10.21037/med-24-22/dss
Peer Review File: Available at https://med.amegroups.com/article/view/10.21037/med-24-22/prf
Funding: None.
Conflicts of Interest: All authors have completed the ICMJE uniform disclosure form (available at https://med.amegroups.com/article/view/10.21037/med-24-22/coif). The authors have no conflicts of interest to declare.
Ethical Statement: The authors are accountable for all aspects of the work in ensuring that questions related to the accuracy or integrity of any part of the work are appropriately investigated and resolved. Local institutional review board (IRB) ethical consent was not required for this study, but local hospital audit committee consent (Guy’s and St Thomas’ NHS Foundation Trust, REC reference 18/EE/0025) was obtained. The study conformed to the provisions of the Declaration of Helsinki and its subsequent amendments. Individual consent for this retrospective analysis was waived.
Open Access Statement: This is an Open Access article distributed in accordance with the Creative Commons Attribution-NonCommercial-NoDerivs 4.0 International License (CC BY-NC-ND 4.0), which permits the non-commercial replication and distribution of the article with the strict proviso that no changes or edits are made and the original work is properly cited (including links to both the formal publication through the relevant DOI and the license). See: https://creativecommons.org/licenses/by-nc-nd/4.0/.
References
- WHO Classification of Tumours Editorial Board. Thoracic Tumours., editor. Epithelial tumours. In: Thoracic Tumours WHO Classification of Tumours, 5th Edition, Volume 5. Lyon: IARC; 2021:319-98.
- Nonaka D, Rosai J. Is there a spectrum of cytologic atypia in type a thymomas analogous to that seen in type B thymomas? A pilot study of 13 cases. Am J Surg Pathol 2012;36:889-94. [Crossref] [PubMed]
- Su YC, Di JX, Da JP. Clinicopathologic features of atypical type A thymoma. Zhonghua Bing Li Xue Za Zhi 2017;46:314-7. [Crossref] [PubMed]
- Bürger T, Schaefer IM, Küffer S, et al. Metastatic type A thymoma: morphological and genetic correlation. Histopathology 2017;70:704-10. [Crossref] [PubMed]
- Green AC, Marx A, Ströbel P, et al. Type A and AB thymomas: histological features associated with increased stage. Histopathology 2015;66:884-91. [Crossref] [PubMed]
- Chalabreysse L, Roy P, Cordier JF, et al. Correlation of the WHO schema for the classification of thymic epithelial neoplasms with prognosis: a retrospective study of 90 tumors. Am J Surg Pathol 2002;26:1605-11. [Crossref] [PubMed]
- Moran CA, Kalhor N, Suster S. Invasive spindle cell thymomas (WHO Type A): a clinicopathologic correlation of 41 cases. Am J Clin Pathol 2010;134:793-8. [Crossref] [PubMed]
- Verley JM, Hollmann KH. Thymoma. A comparative study of clinical stages, histologic features, and survival in 200 cases. Cancer 1985;55:1074-86. [Crossref] [PubMed]
- Ströbel P, Bauer A, Puppe B, et al. Tumor recurrence and survival in patients treated for thymomas and thymic squamous cell carcinomas: a retrospective analysis. J Clin Oncol 2004;22:1501-9. [Crossref] [PubMed]
- Jain RK, Mehta RJ, Henley JD, et al. WHO types A and AB thymomas: not always benign. Mod Pathol 2010;23:1641-9. [Crossref] [PubMed]
- Radovich M, Pickering CR, Felau I, et al. The Integrated Genomic Landscape of Thymic Epithelial Tumors. Cancer Cell 2018;33:244-258.e10. [Crossref] [PubMed]
- Weis CA, Yao X, Deng Y, et al. The impact of thymoma histotype on prognosis in a worldwide database. J Thorac Oncol 2015;10:367-72. [Crossref] [PubMed]
- Hashimoto M, Shimizu S, Takuwa T, et al. A case of atypical type A thymoma variant. Surg Case Rep 2016;2:116. [Crossref] [PubMed]
- Hashimoto M, Tsukamoto Y, Matsuo S, et al. Lung metastases in an atypical type A thymoma variant. J Thorac Dis 2017;9:E805-7. [Crossref] [PubMed]
- Grajkowska W, Matyja E, Kunicki J, et al. AB thymoma with atypical type A component with delayed multiple lung and brain metastases. J Thorac Dis 2017;9:E808-14. [Crossref] [PubMed]
- Kawakita N, Kondo K, Toba H, et al. A case of atypical type A thymoma with vascular invasion and lung metastasis. Gen Thorac Cardiovasc Surg 2018;66:239-42. [Crossref] [PubMed]
- Chiappetta M, Marino M, Facciolo F. Unique case of atypical type A thymoma with vertebral metastasis and high 18-fluorodeoxyglucose avidity. ANZ J Surg 2019;89:E450-1. [Crossref] [PubMed]
- Kar A, Pandita A. Report of a Type AB Thymoma with an Atypical Type A component. Clin Med Reports 2020;5: [Crossref]
- Yanagiya M, Hamaya H, Matsuzaki H, et al. Atypical Type A Thymoma Variant Manifesting Polymyalgia Rheumatica. Ann Thorac Surg 2020;110:e253-5. [Crossref] [PubMed]
- Jimbo N, Tateyama H, Komatsu M, et al. A case of type AB thymoma with atypical histological features: Is atypical type AB thymoma an acceptable variant of thymoma? Pathol Int 2021;71:272-4. [Crossref] [PubMed]
- Yanagiya M, Horiuchi H, Hiyama N, et al. Histopathological heterogeneity in an atypical type A thymoma variant with pulmonary metastases. Pathol Int 2021;71:438-40. [Crossref] [PubMed]
- Vladislav IT, Gökmen-Polar Y, Kesler KA, et al. The role of histology in predicting recurrence of type A thymomas: a clinicopathologic correlation of 23 cases. Mod Pathol 2013;26:1059-64. [Crossref] [PubMed]
- Ajimizu H, Sakamori Y. Narrative review of indication and management of induction therapy for thymic epithelial tumors. Mediastinum 2024;8:44. [Crossref] [PubMed]
- Johnson GB, Aubry MC, Yi ES, et al. Radiologic Response to Neoadjuvant Treatment Predicts Histologic Response in Thymic Epithelial Tumors. J Thorac Oncol 2017;12:354-67. [Crossref] [PubMed]
Cite this article as: Bille A, Cavalli C, Papaxoinis G, McLean E, Nonaka D. Clinico-pathologic study of 252 resected thymomas with emphasis on atypical A and AB group: a single institution experience. Mediastinum 2025;9:22.


