Factors distinguishing thymomas from thymic squamous cell carcinoma: a proposal for diagnosis emphasizing the immunophenotype
Introduction
The thymus is a key lymphoepithelial organ responsible for T cell development. Thymic epithelial cells (TECs) play a central role in this process and can give rise to tumors commonly found in the anterior mediastinum, known as thymic epithelial tumors (TETs). Although various classification systems have been proposed for TETs (1), the World Health Organization (WHO) classification, introduced in 1999 (3rd edition) and last updated in 2021 (5th edition), has become the international standard (2). TETs are broadly categorized into thymomas and thymic carcinomas. Thymomas are further classified into types A, AB, B1, B2, and B3, along with rarer subtypes, namely, micronodular thymoma with lymphoid stroma (MNTLS) and metaplastic thymoma. Thymic carcinomas are less common, occurring at approximately one-fourth the frequency of thymomas, with squamous cell carcinoma (SCC) accounting for about 80% of cases. Although thymic neuroendocrine neoplasms are also epithelial tumors originating in the thymus, they are classified independently from thymomas and thymic carcinomas (2).
Clinically, the most important distinction among TET subtypes is between thymoma and thymic carcinoma, as they require different treatment approaches. Thymomas are often more suitable for repeat local ablative therapy or radiologic surveillance, whereas thymic carcinomas tend to require earlier and more aggressive systemic treatment. In addition, pemetrexed is more effective in thymomas than in thymic carcinomas (3), while sunitinib demonstrates greater efficacy in thymic carcinomas (4). These contrasting responses highlight the biological differences leading to varied therapeutic responses between thymoma and thymic carcinoma.
However, considerable interobserver variability has been reported in the diagnosis of TET, particularly in distinguishing between type A and type B3 thymomas—both characterized by a paucity or absence of immature T cells—and thymic SCC (5-8). Additionally, distinguishing MNTLS from micronodular thymic carcinoma with lymphoid hyperplasia can also be challenging, due to their histomorphological similarities, especially at low-power magnification. This difficulty is further compounded by the fact that micronodular thymic carcinoma is a recently defined subtype of thymic SCC (2,9).
To address this issue, it may be beneficial to present actual pathological images of diagnostically challenging cases and to discuss the distinguishing features between the aforementioned thymoma subtypes and thymic SCC. However, based on our review of the literature from the past decade, only a limited number of publications include such images (6,10,11). Possibly due to space constraints, the WHO classification (Blue Book) also provides limited coverage of the diagnostic challenges involved in differentiating thymoma from thymic SCC. In this review, we present a series of TET cases—focusing on type A thymoma, type B3 thymoma, and thymic SCC—and propose that pathologists should place greater emphasis on immunophenotypic profiling to aid in diagnosis, particularly in light of recent advances in TET biology.
Type A thymoma: histomorphology
Type A thymoma is defined as a TET with variable growth patterns, composed of bland spindle or oval tumor cells with few or no admixed immature T cells (2). One representative case of type A thymoma is presented as Case 1.
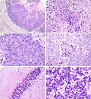
Type A thymoma typically shows coarse lobulation and is surrounded by a complete or incomplete fibrous capsule (Figure 1A). A fascicular growth pattern is often observed (Figure 1B,1C). In such areas, the tumor cells display spindly or oval nuclei with inconspicuous nucleoli and ill-defined eosinophilic cytoplasm. Mitoses are generally absent, and immature T cells are rarely seen (Figure 1B). The tumor may be compartmentalized by thick fibrous bands (Figure 1C), and each compartment—or even a single nest—can exhibit different growth patterns. In this case, some tumor nests consisted of cells forming glandular or microcystic structures (Figure 1D), in which the tumor cells tended to have rounder nuclei (Figure 1E).
Although perivascular spaces are not a hallmark of type A thymoma, they may occasionally be observed, particularly in areas where tumor cells form epithelial structures rather than a typical spindle cell morphology (Figure 1F). The current WHO classification defines “atypical type A thymoma” as a subtype characterized by cytologic atypia, increased mitotic activity, and necrosis (2). While this subtype may appear distinct, it shares molecular features and clinical behavior with conventional type A thymoma (2) and, based on current evidence, does not exhibit the immunophenotypes of thymic SCC (discussed further below). Consistent with the WHO classification, we emphasize the histological diversity of type A thymoma. Additionally, we believe that cytological features can vary, even though overt atypia is typically absent.
Type B3 thymoma: histomorphology
Type B3 thymoma is defined as a TET predominantly composed of mildly to moderately atypical polygonal tumor cells, accompanied by small numbers of non-neoplastic immature T cells (2). In this context, we present two representative cases of type B3 thymoma [Case 2 (Figure 2A-2C) and Case 3 (Figure 2D-2F)].
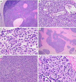
Type B3 thymomas typically appear pink and exhibit, at least in part, a lobular growth pattern. They are often associated with areas of type B2 thymoma, which contains a greater number of immature T cells and appears bluer (Figure 2A). A defining histologic feature of type B3 thymoma is the presence of vessels with occasionally dilated perivascular spaces (Figure 2B). Tumor cells display round to elongated, sometimes grooved nuclei, and have eosinophilic or clear cytoplasm. Mitoses were not evident in these cells (Figure 2C). A small number of immature T cells were scattered among the tumor cells (Figure 2B,2C).
Although not exclusive to this subtype, type B3 thymomas can form relatively irregular nests surrounded by thick fibrous stroma (Figure 2D). In smaller or irregular nodules, perivascular spaces may be inconspicuous or absent (Figure 2E); however, the cytological features of the tumor cells remain consistent with those seen in well-demarcated lobules, and immature T cells are still present in this case (Figure 2F). While not observed in Cases 2 and 3, prominent nucleoli, cytologic anaplasia, and mitotic figures can occasionally be seen in otherwise typical type B3 thymomas (1,2).
Thymic SCC: histomorphology
Thymic SCC is defined as a primary malignant neoplasm of the thymus that exhibits morphological features similar to those observed in SCCs of other organs (2). Two cases of thymic SCC are presented: Case 4 (Figure 3A-3D) and Case 5 (Figure 3E,3F).
In straightforward cases, the tumors are clearly invasive, infiltrating the surrounding tissues and forming irregularly shaped nests (Figure 3A). Most thymic SCCs are poorly differentiated, with squamous differentiation often observed only focally, particularly at the periphery of the nests (Figure 3B). The tumor cells display large vesicular nuclei, often with prominent nucleoli, and eosinophilic-to-amphophilic cytoplasm. Mitotic figures are readily identifiable, and immature T cells are absent (Figure 3C).
Although not specified in the WHO classification (2), we believe that thymic SCC may contain vessels with perivascular spaces infiltrated by inflammatory cells, particularly in larger tumor nodules (Figure 3D). A similar observation is illustrated in a textbook (1). Thymic SCC is also frequently associated with sclerohyaline stroma (Figure 3E). In addition to focal squamous differentiation (Figure 3E), the tumor cells in this case demonstrated high-grade nuclear atypia, characterized by hyperchromatic and pleomorphic nuclei with abundant mitotic activity (Figure 3F).
Thymomas and thymic SCC: immunoreactivity for CD5 and KIT
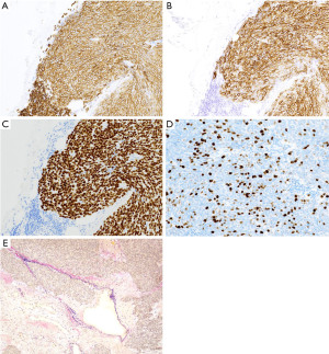
It has long been recognized that thymic SCC often expresses CD5 and KIT, whereas such expression is rare in thymomas (12-14). Type B3 thymoma (Case 3), like other thymoma subtypes including type A thymoma, is negative for CD5 (Figure 4A) and KIT (Figure 4B). In contrast, thymic SCC (Case 4) demonstrates positive immunoreactivity for CD5 (Figure 4C) and KIT (Figure 4D).
Although not frequently emphasized, the expression patterns of CD5 and KIT can vary among thymic SCC cases and even within a single tumor. In Case 4, tumor cells exhibited diffuse CD5 expression (Figure 4C), while KIT expression was relatively patchy (Figure 4D). Conversely, Case 6 (a different thymic SCC case) showed minimal CD5 expression (Figure 4E) but diffuse KIT expression (Figure 4F). Some authors have noted that CD5-positive cells tend to localize at the periphery of tumor nests (15), whereas this distribution pattern is not observed for KIT-positive cells. A recent study suggests that CD5 expression may serve as a prognostic marker in thymic SCC, reporting that CD5-high (>50%) SCCs are associated with better outcomes than CD5-low SCCs (16).
What factors should distinguish thymoma from thymic SCC?
We have presented six cases: type A thymoma (Case 1), type B3 thymoma (Cases 2 and 3), and thymic SCC (Cases 4 to 6). Based on these representative cases, distinguishing thymomas from thymic carcinoma may appear straightforward. However, even in typical cases, histomorphological and cytological features can vary within a single subtype and may overlap between thymoma and thymic carcinoma.
This observation is not entirely original (6), as challenging cases have been described that display features of both typical thymoma and typical thymic SCC, making diagnosis difficult for pathologists. Wolf et al. investigated the reproducibility of the WHO classification among a large cohort of international pathologists specializing in thymic pathology. In their study, they presented images of eight TET cases, four of which did not achieve diagnostic consensus (6). Another study on thymic carcinoma reported a case of thymic SCC with features that complicate its distinction from type B3 thymoma (10). According to these studies, thymic SCC may exhibit thymus-like organotypic features, such as lobulation and fibrous septation, or may display cytologically bland characteristics.
As exemplified by tumors of the central nervous system (17), tumor classification and diagnosis are becoming increasingly integrative, moving beyond sole reliance on histomorphology. This trend is well justified, given that cancer biology is profoundly influenced by molecular characteristics, including genetic and epigenetic signatures, as well as comprehensive gene expression profiles (18). The classification of TETs should be no exception. A growing body of research—particularly since the advent of whole genome sequencing—has revealed previously under-recognized features of TETs, thereby enhancing our understanding and improving diagnostic accuracy.
Petrini et al. were the first to report that a substantial proportion of thymomas—particularly type A and AB—harbor a hotspot mutation in the general transcription factor II-I (GTF2I), specifically the GTF2I L424H variant (19). This finding was subsequently confirmed by independent studies (20-22), and the functional significance of the mutation has been demonstrated both in vitro (23) and, more recently, in vivo using genetically engineered mouse models (24,25). The absence of such mutations in thymic carcinomas suggests that type A thymoma and thymic SCC are genetically distinct, at least in typical cases. Furthermore, a recent study reported that a rare subset (6%) of type B2 or B3 thymomas harbors the KMT2A::MAML2 fusion and exhibits aggressive behavior (26). This translocation seems specific to these subtypes within TETs and may further highlight the genetic differences between thymoma and thymic SCC.
A study conducted as part of The Cancer Genome Atlas (TCGA) project provided a more comprehensive analysis of the molecular features of TETs, demonstrating that thymic carcinomas form a distinct molecular cluster separate from thymomas (22). Although the limited number of thymic carcinoma cases in the TCGA study (N=9; 4 SCC, 4 undifferentiated, 1 thymic carcinoma not otherwise specified) may be a limitation, subsequent studies with larger sample sizes have confirmed substantial genetic differences between thymomas and thymic carcinomas (27,28).
Additionally, recent studies supported by molecular research and associated datasets have highlighted features of medullary TECs (mTECs) in typical thymic SCC—features that were previously under-recognized (29-35). For example, we were the first to report that most thymic SCCs exhibit gene expression profiles resembling those of tuft cells (29), a subset of mTECs present in the thymus (36,37). We further found that tuft cells physiologically express KIT at higher levels than other TEC subtypes, and that tuft cell-like phenotypes are strongly associated with KIT expression (29). An independent research group later confirmed that among TECs, only non-neoplastic tuft cells uniquely express KIT, based on reanalysis of single-cell RNA sequencing data from the normal thymus (31,38). The association between KIT and tuft cell-like carcinoma or normal tuft cells has also been validated in studies of non-thymic organs (39-43). The effectiveness of KIT inhibition in treating rare KIT-mutated thymic SCC (44), along with the observation that KIT-mutated and KIT-positive (but non-mutated) thymic SCCs show overlapping histopathological features (45), suggests that KIT plays a role in the biological behavior of thymic SCC. We believe the connection between mTECs (particularly tuft cells) and KIT further highlights the significance of KIT expression in characterizing thymic SCC.
Additionally, some authors have suggested that CD5 expression in TETs may reflect mTEC characteristics, as physiological CD5-expressing cells have been identified as a subset of neuroendocrine cells in the thymic medulla (31), although the biological significance of these findings remains unclear. The medullary features of thymic SCC may also help explain its frequent focal neuroendocrine phenotype (34,46,47), given that neuroendocrine cells constitute a subset of mTECs in the thymus (38). We hypothesize that thymic SCC is a distinct entity among TETs, characterized by both a squamous cell phenotype and mTEC properties with a tendency toward neuroendocrine differentiation—including tuft cells—for reasons that remain to be elucidated (48).
Although the characteristics of KIT- and CD5-expressing cells in the normal thymus, as well as the functional roles of KIT and CD5 in thymic SCC, warrant further investigations, such as through digital image analysis (49) and specific transcriptomic approaches, findings from a series of recent studies already provide a strong rationale for emphasizing KIT and CD5 expression in the diagnosis of thymic SCC. Furthermore, the medullary phenotype of thymic SCC may explain its thymus-like cytoarchitecture, particularly lobulation and perivascular spaces, which are not associated with immature T cells.
Consistent with this, recent studies report that the specificity of KIT for thymic carcinomas, as compared to thymomas, can reach 100%, with a sensitivity of 86% when using a 10% cutoff criterion (9). The authors also emphasized the importance of immunostaining for immature T cells using TdT, which may be replaced by CD1a or CD99. I agree with this approach, as scattered immature T cells can often be more difficult to distinguish from mature lymphocytes than one might expect. However, some pathologists tend to differentiate thymoma from thymic carcinoma primarily based on the extent to which the tumor retains thymus-like histomorphology and bland cytology—features that often serve as a foundation for pathological diagnosis. In this context, some authors have proposed the category of atypical thymoma as an intermediate entity between thymoma and thymic carcinoma, noting that thymomas can occasionally express KIT and/or CD5 (11). In the next three sections, we present four (mainly three) TET cases that pose diagnostic challenges, and we share our reflections based on the insights discussed above. The concept of atypical thymoma may be relevant to some of these cases.
Micronodular thymic carcinoma with lymphoid hyperplasia
This newly recognized entity is classified as a subtype of thymic SCC (2,50) and has recently garnered attention (51-53). We present one case (Case 7) alongside a case of MNTLS (Case 8). Micronodular thymic carcinoma with lymphoid hyperplasia is characterized by discrete or sometimes coalescent nodules surrounded by lymphoid-rich stroma containing reactive lymphoid follicles (Figure 5A). The tumor cells are cytomorphologically similar to conventional thymic SCC, exhibiting large vesicular nuclei, prominent nucleoli, and eosinophilic cytoplasm (Figure 5B). Although mitotic figures are frequently reported (51,54), they were not evident in this case. Immunohistochemically, the tumor often expresses CD5 (Figure 5C) and KIT (Figure 5D), similar to conventional thymic SCC. The primary differential diagnosis is MNTLS (Figure 5E,5F). While the histological features, particularly at low magnification (Figure 5E), may appear similar, the cytomorphology (Figure 5F) and immunohistochemical patterns are markedly different; MNTLS is negative for both CD5 and KIT (2,50-53). Therefore, we believe the key to avoiding misdiagnosis is simply recognizing this entity.
Moreover, this tumor illustrates that thymic SCCs can exhibit cytoarchitectural diversity while sharing common immunohistochemical features. Clinically, micronodular thymic carcinomas with lymphoid hyperplasia may not be high-grade tumors based on previous reports (50-52,54). However, due to the small number of documented cases, definitive conclusions about their clinical behavior remain premature.
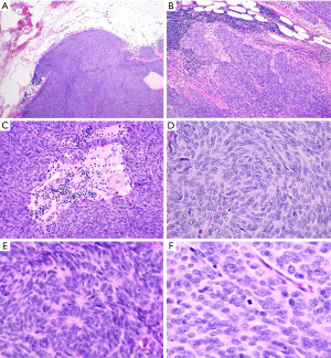
A challenging case of TETs: type A thymoma versus thymic SCC
The tumor (Case 9) was multilobulated and, although it invaded the surrounding adipose tissue, the border remained well-demarcated (Figure 6A). A potential concern was the presence of small, irregularly shaped islands at the periphery (Figure 6B). The tumor contained vessels with large perivascular spaces primarily filled with lymphocytes (Figure 6C). Tumor cells were spindle- or oval-shaped, proliferating in a fascicular growth pattern, occasionally forming whorl-like structures (Figure 6D) and rosettes (Figure 6E). Compared with conventional type A thymoma, the nuclei appeared larger and more monotonous, with some cells showing central nucleoli. Mitoses were readily observed (10 per 2 mm2) (Figure 6F). Immunohistochemically, the tumor showed diffuse expression of CD5 (Figure 7A), KIT (Figure 7B), and p40 (Figure 7C). The Ki-67 labeling index was approximately 13% (Figure 7D). No TdT-positive cells were identified (not shown). Although not diagnostic, vascular invasion was clearly present (Figure 7E).
One of the pioneering studies on KIT expression in TETs reported that 1 out of 50 thymomas exhibited diffuse (>50%) KIT positivity, noting that “this thymoma is composed of spindle cells with mild atypia and is probably classified as an atypical thymoma, although it belongs to the type A histologic subtype in the (3rd) WHO classification” (13). This case may resemble the present one. While most pathologists would likely agree that the current case is not representative of a conventional type A thymoma, as the previous comments suggest, we are not convinced that a majority would classify it as thymic SCC either—particularly given its histomorphological resemblance to an (atypical) type A thymoma.
If a diagnosis of thymic SCC is favored for such cases, it may be worth reconsidering the current WHO definition of thymic SCC—“a primary malignant neoplasm of the thymus with morphological features of SCC as seen in other organs”—in future editions to improve diagnostic consistency. Although this definition has historical precedent, an international discussion, possibly through the International Thymic Malignancy Interest Group (ITMIG), may be warranted.
A challenging case of TETs: thymic SCC originating from type B3 thymoma?
We have discussed the differences between thymoma and de novo thymic SCC. However, the possibility that thymoma may transform into thymic SCC has long been a subject of debate (1,11,55). A recent large-scale study reported that only two out of 368 thymic carcinomas were derived from type B3 thymoma (26), and the notion that thymoma-to-carcinoma transformation is rare appears to be a recent trend (56-58). However, the two cases referenced were interpreted as such (thymic SCC), and their pathological images were not provided.
The presented case (Case 10) may serve as a valuable example. It would essentially be diagnosed as a type B2 and B3 thymoma (Figure 8A), although invasive behavior is evident. The tumor formed variably sized nodules (lobules), with or without accompanying immature T cells and perivascular spaces (Figure 8B). The tumor cells had variably sized, sometimes grooved nuclei, with occasional prominent nucleoli and relatively large pale to eosinophilic cytoplasm. Mitoses were not evident (Figure 8C). However, in some areas measuring 9 x 6 mm, the tumor exhibited irregularly shaped, anastomosing islands lacking the typical features of type B3 thymoma (Figure 8D,8E). These islands were composed of tumor cells with increased cellular density and nuclear atypia, although mitoses remained absent (Figure 8F). Immunohistochemically, these cells did not express CD5 (Figure 9A) or KIT (Figure 9B), as these markers may reflect mTEC characteristics that are unlikely to be present in tumors derived from type B3 thymoma. The Ki-67 labeling index in these areas was approximately 12% (Figure 9C), higher than that in the conventional type B3 thymoma regions (Figure 9D).
We believe this case might be diagnosed as focal thymic SCC arising from a type B3 thymoma, based on the loss of characteristic histological features of type B3 thymoma. However, this implies that different diagnostic criteria must be applied to de novo thymic SCC and type B3 thymoma-derived thymic SCC, due to the differing histogeneses of typical thymic SCC and type B3 thymoma (59-61). Even if readers concur with this interpretation, a remaining challenge is determining the minimum size such areas should reach to justify this diagnosis. Therefore, an area larger than one low-power microscopic field (×40) may serve as a practical and clearly defined threshold. An alternative approach might be to retain the diagnosis of type B3 thymoma while noting the presence of such areas in a footnote, especially considering that the clinical significance remains unclear. Furthermore, the biological characteristics of type B3 thymoma-derived thymic SCC are likely to differ from those of typical de novo thymic SCC. Continued discussion on this topic is warranted.
Conclusions
The diagnosis of TET is currently based on the WHO classification. While many TETs can be accurately diagnosed using hematoxylin and eosin staining-stained slides alone in straightforward cases, some remain diagnostically challenging. A representative example is the distinction between thymoma and thymic SCC when the TET case exhibits overlapping histomorphological features. Accumulating evidence supports the notion that thymomas and thymic carcinomas are biologically distinct neoplasms, with most thymic SCCs exhibiting features of mTECs. The commonly used immunohistochemical markers for thymic SCC, KIT and CD5, may be associated with this phenotype and offer greater diagnostic utility than previously appreciated. However, this concept may necessitate a dual standard for diagnosing thymic SCC, depending on tumor histogenesis—a topic warranting further discussion. Despite these complexities, this article contributes to ongoing discussion and facilitates the development of a consensus regarding the pathological distinctions between thymoma and thymic carcinoma.
Acknowledgments
The author would like to thank Shun Hasegawa and Masahito Hoki for kindly providing specimens for many of the thymic epithelial tumor cases.
Footnote
Provenance and Peer Review: This article was commissioned by the Guest Editor (Malgorzata Szolkowska) for “The Series Dedicated to the 14th International Thymic Malignancy Interest Group Annual Meeting (ITMIG 2024)” published in Mediastinum. The article has undergone external peer review.
Peer Review File: Available at https://med.amegroups.com/article/view/10.21037/med-24-50/prf
Funding: This work was supported in part by
Conflicts of Interest: The author has completed the ICMJE uniform disclosure form (available at https://med.amegroups.com/article/view/10.21037/med-24-50/coif). “The Series Dedicated to the 14th International Thymic Malignancy Interest Group Annual Meeting (ITMIG 2024)” was commissioned by the editorial office without any funding or sponsorship. The author has no other conflicts of interest to declare.
Ethical Statement: The author is accountable for all aspects of the work in ensuring that questions related to the accuracy or integrity of any part of the work are appropriately investigated and resolved.
Open Access Statement: This is an Open Access article distributed in accordance with the Creative Commons Attribution-NonCommercial-NoDerivs 4.0 International License (CC BY-NC-ND 4.0), which permits the non-commercial replication and distribution of the article with the strict proviso that no changes or edits are made and the original work is properly cited (including links to both the formal publication through the relevant DOI and the license). See: https://creativecommons.org/licenses/by-nc-nd/4.0/.
References
- Shimosato Y, Mukai K, Matsuno Y. Tumors of the mediastinum. In: Atlas of Tumor Pathology, 4th Series, Fascicle 11. Washington, DC: AFIP Press; 2010.
- WHO Classification of Tumours. Thoracic tumours. Lyon (France): International Agency for Research on Cancer; 2021.
- Gbolahan OB, Porter RF, Salter JT, et al. A Phase II Study of Pemetrexed in Patients with Recurrent Thymoma and Thymic Carcinoma. J Thorac Oncol 2018;13:1940-8. [Crossref] [PubMed]
- Thomas A, Rajan A, Berman A, et al. Sunitinib in patients with chemotherapy-refractory thymoma and thymic carcinoma: an open-label phase 2 trial. Lancet Oncol 2015;16:177-86. [Crossref] [PubMed]
- Molina TJ, Bluthgen MV, Chalabreysse L, et al. Impact of expert pathologic review of thymic epithelial tumours on diagnosis and management in a real-life setting: A RYTHMIC study. Eur J Cancer 2021;143:158-67. [Crossref] [PubMed]
- Wolf JL, van Nederveen F, Blaauwgeers H, et al. Interobserver variation in the classification of thymic lesions including biopsies and resection specimens in an international digital microscopy panel. Histopathology 2020;77:734-41. [Crossref] [PubMed]
- Oselin K, Girard N, Lepik K, et al. Pathological discrepancies in the diagnosis of thymic epithelial tumors: the Tallinn-Lyon experience. J Thorac Dis 2019;11:456-64. [Crossref] [PubMed]
- Galli G, Trama A, Abate-Daga L, et al. Accuracy of pathologic diagnosis for thymic epithelial tumors: a brief report from an Italian reference Center. Lung Cancer 2020;146:66-9. [Crossref] [PubMed]
- Naso JR, Vrana JA, Koepplin JW, et al. EZH2 and POU2F3 Can Aid in the Distinction of Thymic Carcinoma from Thymoma. Cancers (Basel) 2023;15:2274. [Crossref] [PubMed]
- Roden AC, Szolkowska M. Common and rare carcinomas of the thymus. Virchows Arch 2021;478:111-28. [Crossref] [PubMed]
- Suster DI, Craig Mackinnon A, DiStasio M, et al. Atypical thymomas with squamoid and spindle cell features: clinicopathologic, immunohistochemical and molecular genetic study of 120 cases with long-term follow-up. Mod Pathol 2022;35:875-94. [Crossref] [PubMed]
- Pan CC, Chen PC, Chiang H. KIT (CD117) is frequently overexpressed in thymic carcinomas but is absent in thymomas. J Pathol 2004;202:375-81. [Crossref] [PubMed]
- Nakagawa K, Matsuno Y, Kunitoh H, et al. Immunohistochemical KIT (CD117) expression in thymic epithelial tumors. Chest 2005;128:140-4. [Crossref] [PubMed]
- Hishima T, Fukayama M, Fujisawa M, et al. CD5 expression in thymic carcinoma. Am J Pathol 1994;145:268-75.
- Hosaka N, Ohe C, Miyasaka C, et al. The role of CD5 expression in thymic carcinoma: possible mechanism for interaction with CD5+ lymphoid stroma (microenvironment). Histopathology 2016;68:450-5. [Crossref] [PubMed]
- Naso JR, Jenkins SM, Vrana JA, et al. CD5 Immunoreactivity Is Associated With Longer Overall Survival in Thymic Carcinoma: A Brief Report. JTO Clin Res Rep 2025;6:100803. [Crossref] [PubMed]
- WHO Classification of Tumours. Central nervous system tumours. Lyon (France): International Agency for Research on Cancer; 2021.
- Hanahan D. Hallmarks of Cancer: New Dimensions. Cancer Discov 2022;12:31-46. [Crossref] [PubMed]
- Petrini I, Meltzer PS, Kim IK, et al. A specific missense mutation in GTF2I occurs at high frequency in thymic epithelial tumors. Nat Genet 2014;46:844-9. [Crossref] [PubMed]
- Suster D, Mackinnon AC, Pihan G, et al. Lymphocyte-Rich Spindle Cell Thymoma: Clinicopathologic, Immunohistochemical, Ultrastructural and Molecular Genetic Study of 80 Cases. Am J Surg Pathol 2022;46:603-16. [Crossref] [PubMed]
- Wells K, Lamrca A, Papaxoinis G, et al. Unique correlation between GTF2I mutation and spindle cell morphology in thymomas (type A and AB thymomas). J Clin Pathol 2023;76:463-6. [Crossref] [PubMed]
- Radovich M, Pickering CR, Felau I, et al. The Integrated Genomic Landscape of Thymic Epithelial Tumors. Cancer Cell 2018;33:244-258.e10. [Crossref] [PubMed]
- Kim IK, Rao G, Zhao X, et al. Mutant GTF2I induces cell transformation and metabolic alterations in thymic epithelial cells. Cell Death Differ 2020;27:2263-79. [Crossref] [PubMed]
- Giorgetti OB, Nusser A, Boehm T. Human thymoma-associated mutation of the GTF2I transcription factor impairs thymic epithelial progenitor differentiation in mice. Commun Biol 2022;5:1037. [Crossref] [PubMed]
- He Y, Kim IK, Bian J, et al. A Knock-In Mouse Model of Thymoma With the GTF2I L424H Mutation. J Thorac Oncol 2022;17:1375-86. [Crossref] [PubMed]
- Massoth LR, Hung YP, Dias-Santagata D, et al. Pan-Cancer Landscape Analysis Reveals Recurrent KMT2A-MAML2 Gene Fusion in Aggressive Histologic Subtypes of Thymoma. JCO Precis Oncol 2020;4:PO.19.00288.
- Kurokawa K, Shukuya T, Greenstein RA, et al. Genomic characterization of thymic epithelial tumors in a real-world dataset. ESMO Open 2023;8:101627. [Crossref] [PubMed]
- Girard N, Basse C, Schrock A, et al. Comprehensive Genomic Profiling of 274 Thymic Epithelial Tumors Unveils Oncogenic Pathways and Predictive Biomarkers. Oncologist 2022;27:919-29. [Crossref] [PubMed]
- Yamada Y, Simon-Keller K, Belharazem-Vitacolonnna D, et al. A Tuft Cell-Like Signature Is Highly Prevalent in Thymic Squamous Cell Carcinoma and Delineates New Molecular Subsets Among the Major Lung Cancer Histotypes. J Thorac Oncol 2021;16:1003-16. [Crossref] [PubMed]
- Yamada Y, Sugimoto A, Hoki M, et al. POU2F3 beyond thymic carcinomas: expression across the spectrum of thymomas hints to medullary differentiation in type A thymoma. Virchows Arch 2022;480:843-51. [Crossref] [PubMed]
- Matsumoto M, Ohmura T, Hanibuchi Y, et al. AIRE illuminates the feature of medullary thymic epithelial cells in thymic carcinoma. Cancer Med 2023;12:9843-8. [Crossref] [PubMed]
- Yuan X, Huang L, Luo W, et al. Diagnostic and Prognostic Significances of SOX9 in Thymic Epithelial Tumor. Front Oncol 2021;11:708735. [Crossref] [PubMed]
- Kashima J, Hishima T, Okuma Y, et al. CD70 in Thymic Squamous Cell Carcinoma: Potential Diagnostic Markers and Immunotherapeutic Targets. Front Oncol 2021;11:808396. [Crossref] [PubMed]
- Kashima J, Hashimoto T, Yoshida A, et al. Insulinoma-associated-1 (INSM1) expression in thymic squamous cell carcinoma. Virchows Arch 2022;481:893-901. [Crossref] [PubMed]
- Li H, Ren B, Yu S, et al. The clinicopathological significance of thymic epithelial markers expression in thymoma and thymic carcinoma. BMC Cancer 2023;23:161. [Crossref] [PubMed]
- Bornstein C, Nevo S, Giladi A, et al. Single-cell mapping of the thymic stroma identifies IL-25-producing tuft epithelial cells. Nature 2018;559:622-6. [Crossref] [PubMed]
- Miller CN, Proekt I, von Moltke J, et al. Thymic tuft cells promote an IL-4-enriched medulla and shape thymocyte development. Nature 2018;559:627-31. [Crossref] [PubMed]
- Bautista JL, Cramer NT, Miller CN, et al. Single-cell transcriptional profiling of human thymic stroma uncovers novel cellular heterogeneity in the thymic medulla. Nat Commun 2021;12:1096. [Crossref] [PubMed]
- Yamada Y, Belharazem-Vitacolonnna D, Bohnenberger H, et al. Pulmonary cancers across different histotypes share hybrid tuft cell/ionocyte-like molecular features and potentially druggable vulnerabilities. Cell Death Dis 2022;13:979. [Crossref] [PubMed]
- Yamada Y, Bohnenberger H, Kriegsmann M, et al. Tuft cell-like carcinomas: novel cancer subsets present in multiple organs sharing a unique gene expression signature. Br J Cancer 2022;127:1876-85. [Crossref] [PubMed]
- Huang YH, Klingbeil O, He XY, et al. POU2F3 is a master regulator of a tuft cell-like variant of small cell lung cancer. Genes Dev 2018;32:915-28. [Crossref] [PubMed]
- Huang L, Bernink JH, Giladi A, et al. Tuft cells act as regenerative stem cells in the human intestine. Nature 2024;634:929-35. [Crossref] [PubMed]
- Jimbo N, Ohbayashi C, Takeda M, et al. POU2F3-Expressing Small Cell Lung Carcinoma and Large Cell Neuroendocrine Carcinoma Show Morphologic and Phenotypic Overlap. Am J Surg Pathol 2024;48:4-15. [Crossref] [PubMed]
- Ströbel P, Hartmann M, Jakob A, et al. Thymic carcinoma with overexpression of mutated KIT and the response to imatinib. N Engl J Med 2004;350:2625-6. [Crossref] [PubMed]
- Schirosi L, Nannini N, Nicoli D, et al. Activating c-KIT mutations in a subset of thymic carcinoma and response to different c-KIT inhibitors. Ann Oncol 2012;23:2409-14. [Crossref] [PubMed]
- Hishima T, Fukayama M, Hayashi Y, et al. Neuroendocrine differentiation in thymic epithelial tumors with special reference to thymic carcinoma and atypical thymoma. Hum Pathol 1998;29:330-8. [Crossref] [PubMed]
- Lauriola L, Erlandson RA, Rosai J. Neuroendocrine differentiation is a common feature of thymic carcinoma. Am J Surg Pathol 1998;22:1059-66. [Crossref] [PubMed]
- Yamada Y, Iwane K, Nakanishi Y, et al. Thymic Carcinoma: Unraveling Neuroendocrine Differentiation and Epithelial Cell Identity Loss. Cancers (Basel) 2023;16:115. [Crossref] [PubMed]
- Bocchialini G, Schiefer AI, Müllauer L, et al. Tumour immune microenvironment in resected thymic carcinomas as a predictor of clinical outcome. Br J Cancer 2022;127:1162-71. [Crossref] [PubMed]
- Weissferdt A, Moran CA. Micronodular thymic carcinoma with lymphoid hyperplasia: a clinicopathological and immunohistochemical study of five cases. Mod Pathol 2012;25:993-9. [Crossref] [PubMed]
- Thomas de Montpreville V, Mansuet-Lupo A, Le Naoures C, et al. Micronodular thymic carcinoma with lymphoid hyperplasia: relevance of immunohistochemistry with a small panel of antibodies for diagnosis-a RYTHMIC study. Virchows Arch 2021;479:741-6. [Crossref] [PubMed]
- Yagi H, Nakaguro M, Ito M, et al. Difference in the distribution of tumor-infiltrating CD8+ T cells and FOXP3+ T cells between micronodular thymoma with lymphoid stroma and micronodular thymic carcinoma with lymphoid stroma. Pathol Int 2021;71:453-62. [Crossref] [PubMed]
- Thomas-de-Montpréville V, Chalabreysse L, Hofman V, et al. Micronodular thymic epithelial tumors with lymphoid hyperplasia and mimicking lesions. Histol Histopathol 2025;40:1-10. [Crossref] [PubMed]
- Liu PP, Su YC, Niu Y, et al. Comparative clinicopathological and immunohistochemical study of micronodular thymoma and micronodular thymic carcinoma with lymphoid stroma. J Clin Pathol 2021;75:702-5. [Crossref] [PubMed]
- Suster S, Moran CA. Primary thymic epithelial neoplasms showing combined features of thymoma and thymic carcinoma. A clinicopathologic study of 22 cases. Am J Surg Pathol 1996;20:1469-80. [Crossref] [PubMed]
- Marx A, Chan JKC, Chalabreysse L, et al. The 2021 WHO Classification of Tumors of the Thymus and Mediastinum: What Is New in Thymic Epithelial, Germ Cell, and Mesenchymal Tumors? J Thorac Oncol 2022;17:200-13. [Crossref] [PubMed]
- Roden AC, Ahmad U, Cardillo GThymic Carcinomas-A Concise Multidisciplinary Update on Recent Developments From the Thymic Carcinoma Working Group of the International Thymic Malignancy Interest Group, et al. J Thorac Oncol 2022;17:637-50. [Crossref] [PubMed]
- von der Thüsen J. Thymic epithelial tumours: histopathological classification and differential diagnosis. Histopathology 2024;84:196-215. [Crossref] [PubMed]
- Tomaru U, Yamada Y, Ishizu A, et al. Proteasome subunit β5t expression in cervical ectopic thymoma. J Clin Pathol 2012;65:858-9. [Crossref] [PubMed]
- Yamada Y, Tomaru U, Ishizu A, et al. Expression of proteasome subunit β5t in thymic epithelial tumors. Am J Surg Pathol 2011;35:1296-304. [Crossref] [PubMed]
- Hayashi A, Fumon T, Miki Y, et al. The evaluation of immunohistochemical markers and thymic cortical microenvironmental cells in distinguishing thymic carcinoma from type b3 thymoma or lung squamous cell carcinoma. J Clin Exp Hematop 2013;53:9-19. [Crossref] [PubMed]
Cite this article as: Yamada Y. Factors distinguishing thymomas from thymic squamous cell carcinoma: a proposal for diagnosis emphasizing the immunophenotype. Mediastinum 2025;9:25.

