Superior vena cava resection without venous reconstruction for thymic tumors: a report of two cases
Highlight box
Key findings
• This study reported two cases of superior vena cava (SVC) resection without venous reconstruction for thymic tumors.
• Using the internal jugular vein pressure (IJVP) monitoring guided strategy, SVC could be resected only without venous reconstruction in selected patients.
• The surgical procedure is less complex and anticoagulation therapy is exempted.
What is known and what is new?
• When SVC is resected, the traditional teaching is that venous reconstruction should be carried out to maintain sufficient blood returning to the heart to avoid severe complications such as cerebral edema.
• SVC resection alone under the safe threshold of 30 cmH2O IJVP was feasible and safe in selected patients with abundant collateral circulations.
What is the implication, and what should change now?
• Well-developed collateral circulation may enable adequate venous return to the heart without resulting in cerebral edema even if the primary innominate vein-SVC route is blocked. The 30 cmH2O threshold IJVP could be useful in selecting patients who could have SVC resection alone without venous reconstruction.
Introduction
When superior vena cava (SVC) is invaded by anterior mediastinal tumors such as thymic tumors, en bloc resection of the tumor and SVC are required for resectable diseases. Venous reconstruction is necessary if the SVC and/or bilateral innominate veins are resected to avoid severe complications such as cerebral edema (1-10). The surgical procedure is challenging and traumatic, and the use of bypass grafts necessitates lifelong anticoagulation therapy. However, even with long-term anticoagulation therapy, the graft could be totally obstructed after unilateral reconstruction. Patients might not have obstructive symptoms while collateral circulations provide for venous flow from the head returning to the heart. And prior to surgery, abundant collateral circulations might develop when the initial innominate vein-SVC route is blocked due to tumor invasion (11). This led us to suppose that venous reconstruction may not always be necessary after SVC resection if there is adequate blood return to the heart through collateral circulations, and therefore negating the need for postoperative anticoagulation. We previously found that internal jugular vein pressure (IJVP) could be a feasible objective measurement of sufficient blood return from the head and upper limbs (1). The safety upper limit of 30 cmH2O IJVP could safely guide reconstruction strategy, whether to do bilateral or only unilateral venous bypass. If IJVP is under 30 cmH2O after SVC resection then venous reconstruction could be avoided in selected patients. Here, we present 2 cases of patients having SVC resection without venous reconstruction under the guidance of IJVP monitoring. We present this article in accordance with the CARE reporting checklist (available at https://med.amegroups.com/article/view/10.21037/med-25-35/rc).
Case presentation
All procedures in this study were performed in accordance with the ethical standards of the institutional research committee and with the Declaration of Helsinki and its subsequent amendments. Written informed consent was obtained from the patients for the publication of this case report and accompanying images. A copy of the written consent is available for review by the editorial office of this journal.
Case 1
A 57-year-old female patient was admitted to Shanghai Chest Hospital in November 2020 with an anterior mediastinal mass after a B2 thymoma resection 8 years before. Chest computed tomography (CT) revealed an 84mm right anterior mass invading the right lung, bilateral innominate veins, and SVC, with tumor embolism inside the SVC (Figure 1A). Core needle biopsy suggested recurrence of B2 thymoma. After sequential chemoradiotherapy (SCRT), the patient had partial response (PR) and CT revealed the tumor still invaded the right lung, bilateral innominate veins, and SVC, but tumor embolism was not obvious (Figure 1B). The left superior intercostal vein ran down the left side of the aortic arch from the left innominate vein to the azygos vein (Figure 1). The azygos was not invaded by the tumor.
The patient underwent median sternotomy with preparation for SVC reconstruction in April 2021. A right internal jugular vein catheter was placed to monitor IJVP. A radial arterial line was inserted to monitor the systemic blood pressure during surgery. The mass invaded the right upper lobe, bilateral innominate veins and SVC. The enlarged left superior intercostal vein originated from left innominate vein and descended along the left lateral side of aortic arch and joined the azygos vein (Figure 2A). IJVP was found to be 29 cmH2O after clamping the SVC. The tumor and the invaded structures were removed without SVC reconstruction and the azygos vein was reserved (Figure 2B). No obstructive complications were found postoperatively. Operation time was 167 minutes and blood loss was 1,000 mL. The patient started to ambulate on the 2nd postoperative day and was discharged 8 days after surgery. Pathological examination showed mixed thymic carcinoma with 20% thymic squamous cell carcinoma and 80% B2 thymoma. The tumor invaded pericardium, lung, SVC and bilateral innominate veins.
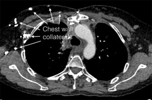
No tumor recurrence was found after a 44-month follow-up and abundant collateral circulations could be seen in postoperative imaging (Figure 3).
Case 2
A 56-year-old female patient with facial swelling was diagnosed with B2 thymoma and received chemoradiotherapy prior to attending Shanghai Chest Hospital in July 2022. Chest CT scan revealed a 67-mm right anterior mediastinal mass invading the right lung, bilateral innominate veins, and SVC, with tumor embolism inside SVC but not invaded right atrium (Figure 4A). After concurrent chemoradiotherapy, the patient had PR but the tumor was still potentially unresectable, so additional 3-cycle chemotherapy was performed but with stable disease in another hospital. The chest CT scan before surgery revealed noticeable tumor shrinkage, but there was still active lesion in front of the aorta and inside the SVC (Figure 4B,4C).
The patient underwent median sternotomy under IJVP monitoring in July 2022. The tumor invaded the SVC and azygos vein and the tumor embolism inside SVC was obvious. Thrombectomy through SVC was attempted by clamping the SVC proximally and the bilateral innominate veins distally. Unfortunately, the embolism was found to be impossible to remove completely. But IJVP was only 25 cmH2O after clamping the SVC, innominate veins, and the azygos. Then the SVC, bilateral innominate veins and azygos vein were resected without venous reconstruction (Figure 5). No facial and bulbar conjunctival swelling was observed during the operation. The operation time was 245 minutes and blood loss was 600 mL. The patient did not have severe graft-related complications postoperatively and stayed in ICU for 5 days. The patient was discharged from the hospital 12 days after surgery. Pathological examination showed B3 thymoma with invasion of pericardium, lung, SVC and bilateral innominate veins.
The patient already had collateral circulations before surgery and more abundant collateral circulations could be seen after SVC resection alone without venous reconstruction (Figure 6). After a 31-month follow-up, there was no recurrence of tumor (Figure 7).
Discussion
We reported two cases of SVC resection alone without venous reconstruction for thymic tumors, one with the azygos vein reserved and the other with azygos vein resected. These patients recovered well without severe obstructive complications and did not require anticoagulation therapy. Long-term follow-up showed obvious collateral circulations and no tumor recurrence.
SVC receives blood return from the internal jugular veins, subclavian veins, azygos vein and smaller veins such as the internal mammary and thyroid from head, neck and upper limbs. When the SVC is resected for tumor invasion, the traditional teaching is that venous reconstruction should be followed to avoid severe or fatal complications such as cerebral edema. The surgical procedure of SVC resection and reconstruction requires continuous arterial and venous pressure measurements. Dartevelle and colleagues found that the cranial venous pressure may rise up to 40 mmHg during venous clamping, while volume expansion could maintain a subnormal arterial-venous brain gradient (2). To prevent severe graft-related complications, we used IJVP to objectively assess whether there was sufficient blood flow back to the heart in our previous study (1). We found the safety upper limit of IJVP was 30 cmH2O and IJVP-monitoring guided surgical strategy is feasible and safe in the SVC resection and reconstruction. Therefore, we further use this safe IJVP limit to explore SVC resection alone in selected patients with abundant collateral circulations. And we routinely prepared for venous reconstruction to maintain adequate blood flow if the IJVP was above 30 cmH2O when clamping SVC (1).
Collateral circulations may develop after chronic SVC obstruction (11). In case 1, preoperative imaging showed that the patients had an obvious collateral vein on the left side of the aortic arch originating from the left innominate vein but it was hard to know if the collateral circulations could completely compensate for the loss of the SVC-innominate vein route. So, we prepared for venous reconstruction before surgery and used intraoperative IJVP to decide whether to perform the reconstruction. We also found a thick collateral vein (left superior intercostal vein) consistent with the imaging intraoperatively (Figure 2B). IJVP was below 30 cmH2O when clamping the SVC, supposing adequate blood return to the heart. Therefore, SVC and bilateral innominate veins were resected without venous reconstruction, while azygos vein were reserved. In case 2, the tumor invaded inside the SVC and azygos vein was also invaded. When clamping the SVC and azygos vein, IJVP was also below 30 cmH2O and therefore SVC, bilateral innominate veins and azygos vein were resected without venous reconstruction. These patients recovered well postoperatively without severe obstructive complications. Long-term follow-up showed more abundant collateral circulations and no recurrence of tumor.
Postoperative anticoagulation therapy is recommended after SVC resection and reconstruction to maintain the graft patency (3,5-7). Our former experiences for patients with SVC resection and reconstruction included continuous anti-coagulation therapy with low molecular-weight heparin in hospital and oral anticoagulant maintenance after discharge. Use of anticoagulants could result in bleeding, thrombocytopenia and nonbleeding complications such as vascular calcification, anticoagulation-related nephropathy, and osteoporosis (12,13). And patients have to take routine coagulation tests during anticoagulation therapy. Anticoagulation therapy is no longer required for patients without the use of prosthetic grafts.
Conclusions
To our knowledge, this is the first successful attempt of SVC resection alone without venous reconstruction with long-term follow-up results. SVC resection alone under IJVP monitoring was feasible and safe in selected patients. The surgical strategy could benefit patients from less surgical trauma and avoidance of anticoagulants.
Acknowledgments
None.
Footnote
Reporting Checklist: The authors have completed the CARE reporting checklist. Available at https://med.amegroups.com/article/view/10.21037/med-25-35/rc
Peer Review File: Available at https://med.amegroups.com/article/view/10.21037/med-25-35/prf
Funding: This study was supported by
Conflicts of Interest: All authors have completed the ICMJE uniform disclosure form (available at https://med.amegroups.com/article/view/10.21037/med-25-35/coif). W.F. serves as the Editor-in-Chief of Mediastinum from March 2017 to March 2027. The other authors have no conflicts of interest to declare.
Ethical Statement: The authors are accountable for all aspects of the work in ensuring that questions related to the accuracy or integrity of any part of the work are appropriately investigated and resolved. All procedures in this study were performed in accordance with the ethical standards of the institutional research committee and with the Declaration of Helsinki and its subsequent amendments. Written informed consent was obtained from the patients for the publication of this case report and accompanying images. A copy of the written consent is available for review by the editorial office of this journal.
Open Access Statement: This is an Open Access article distributed in accordance with the Creative Commons Attribution-NonCommercial-NoDerivs 4.0 International License (CC BY-NC-ND 4.0), which permits the non-commercial replication and distribution of the article with the strict proviso that no changes or edits are made and the original work is properly cited (including links to both the formal publication through the relevant DOI and the license). See: https://creativecommons.org/licenses/by-nc-nd/4.0/.
References
- Hao X, Gu Z, Liu H, et al. Internal jugular vein pressure monitoring guided venous reconstruction could improve perioperative safety after superior vena cava resection for mediastinal tumors: a cohort study. Int J Surg 2024;110:2730-7. [Crossref] [PubMed]
- Dartevelle P, Macchiarini P, Chapelier A. Technique of superior vena cava resection and reconstruction. Chest Surg Clin N Am 1995;5:345-58.
- Dartevelle PG, Chapelier AR, Pastorino U, et al. Long-term follow-up after prosthetic replacement of the superior vena cava combined with resection of mediastinal-pulmonary malignant tumors. J Thorac Cardiovasc Surg 1991;102:259-65.
- Suzuki K, Asamura H, Watanabe S, et al. Combined resection of superior vena cava for lung carcinoma: prognostic significance of patterns of superior vena cava invasion. Ann Thorac Surg 2004;78:1184-9; discussion 1184-9. [Crossref] [PubMed]
- Shintani Y, Ohta M, Minami M, et al. Long-term graft patency after replacement of the brachiocephalic veins combined with resection of mediastinal tumors. J Thorac Cardiovasc Surg 2005;129:809-12. [Crossref] [PubMed]
- Spaggiari L, Leo F, Veronesi G, et al. Superior vena cava resection for lung and mediastinal malignancies: a single-center experience with 70 cases. Ann Thorac Surg 2007;83:223-9; discussion 229-30. [Crossref] [PubMed]
- Lanuti M, De Delva PE, Gaissert HA, et al. Review of superior vena cava resection in the management of benign disease and pulmonary or mediastinal malignancies. Ann Thorac Surg 2009;88:392-7. [Crossref] [PubMed]
- Okereke IC, Kesler KA. Superior vena cava and innominate vein reconstruction in thoracic malignancies: single-vein reconstruction. Semin Thorac Cardiovasc Surg 2011;23:323-5. [Crossref] [PubMed]
- McPhee A, Shaikhrezai K, Berg G. Is it safe to divide and ligate the left innominate vein in complex cardiothoracic surgeries? Interact Cardiovasc Thorac Surg 2013;17:560-3. [Crossref] [PubMed]
- Bertolaccini L, Prisciandaro E, Galetta D, et al. Outcomes and Safety Analysis in Superior Vena Cava Resection for Extended Thymic Epithelial Tumors. Ann Thorac Surg 2021;112:271-7. [Crossref] [PubMed]
- Marini TJ, Chughtai K, Nuffer Z, et al. Blood finds a way: pictorial review of thoracic collateral vessels. Insights Imaging 2019;10:63. [Crossref] [PubMed]
- Piazza G, Nguyen TN, Cios D, et al. Anticoagulation-associated adverse drug events. Am J Med 2011;124:1136-42. [Crossref] [PubMed]
- Ageno W, Donadini M. Breadth of complications of long-term oral anticoagulant care. Hematology Am Soc Hematol Educ Program 2018;2018:432-8. [Crossref] [PubMed]
Cite this article as: Hao X, Gu Z, Zhang X, Xu N, Yu F, Liu H, Mao T, Fang W. Superior vena cava resection without venous reconstruction for thymic tumors: a report of two cases. Mediastinum 2025;9:28.

