Mediastinal tumors: why, when, and how to biopsy?
Introduction
The mediastinum is like a box of Pandora. You never know what to find on the inside until you open the box (1). According to the Greek mythology Pandora received a box as a gift from the gods. Driven by curiosity Pandora opened the box thus releasing curses upon mankind (2). Likewise, opening the mediastinum to take a surgical biopsy of a well encapsulated, non-invasive tumor may initiate undesired complications like postoperative chest pain, hemorrhage, wound infection, pleural effusion, or tumor spread not becoming apparent until at a later stage during patient’s follow-up.
The decision to biopsy a mediastinal mass should be well thought through in advance following discussion during a multidisciplinary tumor board conference and balanced against any possible risk.
In this short review we will discuss three questions: why, when, and how to biopsy mediastinal tumors?
Why to biopsy mediastinal tumors?
The finding of a mediastinal mass of unknown origin often poses a diagnostic challenge for clinicians. A correct diagnosis prior to initiating any treatment is important. Therefore, a good understanding of the anatomical boundaries of the three different mediastinal compartments (prevascular, visceral, paravertebral) as proposed by the International Thymic Malignancy Interest Group is of utmost importance (3). Also, profound knowledge is needed on the different structures running in each mediastinal compartment (Table 1) that may become the primary origin for a wide variety of benign and malignant mediastinal lesions (Table 2) (4).
Table 1
| Prevascular |
| Thymus |
| Mammary vessels |
| Ectopic (para)thyroid |
| Phrenic nerve |
| Lymph nodes |
| Fat |
| Visceral |
| Trachea & carina |
| Esophagus |
| Heart |
| Great vessels† |
| Pericardium |
| Vagal nerve |
| Thoracic duct |
| Lymph nodes |
| Fat |
| Paravertebral |
| Sympathetic chain |
| Lymph nodes |
| Fat |
All mediastinal compartments are covered with pleura. Tumors may originate out of the mediastinal pleura: e.g., solitary fibrous tumors or localized pleural mesothelioma. These tumors should be included in the list of differential diagnosis of mediastinal tumors, mainly in the paravertebral compartment. †, ascending aorta, aortic arch, descending aorta, superior vena cava, brachiocephalic vein, (hemi-)azygos vein, intrapericardial pulmonary arteries.
Table 2
| Prevascular |
| Thymic tumors |
| Germ cell tumors† |
| Lymphoma‡ |
| Thyroid (goiter) |
| Parathyroid adenoma |
| Paraganglioma |
| Lymphangioma |
| Hemangioma |
| Lipo(sarco)ma |
| Thymic hyperplasia |
| Thymic cyst |
| (Metastatic) lymph nodes |
| Sternal tumor |
| Cartilaginous tumor |
| Visceral |
| Thymic tumors (rare) |
| Lymphoma‡ |
| Thyroid (goiter) |
| Paraganglioma |
| (Metastatic) lymph nodes |
| Bronchogenic cyst |
| Enteric cyst |
| Pericardial cyst |
| Esophageal diverticulum |
| Esophageal tumor |
| Mega-esophagus |
| Diaphragmatic hernia |
| Aneurysms¶ |
| Paravertebral |
| Neurogenic tumors§ |
| Lymphoma‡ |
| Paraganglioma |
| Lipo(sarco)ma |
| Thoracic duct cyst |
| (Metastatic) lymph nodes |
| Meningocele |
| Vertebral tumor |
| Solitary fibrous tumor |
| Localized pleural mesothelioma |
†, including teratoma, seminoma, non-seminomatous germ cell tumors; ‡, including Hodgkin lymphoma, mediastinal T-lymphoblastic leukaemia/lymphoma, and primary mediastinal large B-cell lymphoma; §, including neurilemoma, neurofibroma, ganglioneuroma(blastoma), (malignant) schwannoma; ¶, including aneurysms of aorta, brachiocephalic and caval veins, (hemi-)azygos vein, pulmonary artery, pulmonary veins.
Patients with a mediastinal mass can be completely asymptomatic when discovered at the time of an incidental finding on imaging or present with clinical symptoms that may help to guide towards correct diagnosis. These symptoms can either be systemic (so called B symptoms such as anorexia, fever, night sweating), local (dyspnea, cough, stridor, hemoptysis, dysphagia, chest pain, hoarseness, Horner’s syndrome, superior vena cava syndrome), or paraneoplastic related to a wide range of auto-immune disorders (ptosis, diplopia, dysarthria, muscle weakness, neurologic syndromes, anemia, skin disorders, endocrine disorders, opportunistic infections) such as often is the case with thymic epithelial tumors (TETs). Mostly known and described syndromes are myasthenia gravis (MG), red blood cell aplasia, and hypogammaglobulinemia (Good syndrome) (5-7). With attention to patient’s age and gender together with clinical characteristics, a narrowed differential diagnosis on the exact nature of the mediastinal mass becomes possible (8). Together with thoracic imaging [chest X-ray; chest computed tomography (CT), magnetic resonance imaging, positron emission tomography (PET), other nuclear scans] describing the exact localization and internal characteristics of the mass (9-12) and laboratory tests including tumor markers, antibodies, and hormones (Table 3) (13-16), a clinical diagnosis can be made in most patients. Increased beta human chorionic gonadotropin (beta-HCG) or alpha fetoprotein (AFP) serum levels in a patient with a mediastinal mass are highly indicative for the presence of an extragonadal germ cell tumor. In patients with a suspicion of a TET anti-acetylcholine receptor (AChR) antibodies should be routinely analyzed prior to thymectomy, even in those without clinical symptoms or neurologic signs of MG. One in four of these patients will have anti-AChR antibodies and more than 90% will develop clinical MG within 6 years after thymectomy (17).
Table 3
| Tumor markers |
| CEA |
| NSE |
| LDH |
| AFP |
| Beta-HCG |
| Autoantibodies |
| Anti-AChR (myasthenia gravis) |
| Anti-MuSK (myasthenia gravis) |
| T-cell antigens (lymphoma) |
| B-cell antigens (lymphoma) |
| Hormones |
| Insulin |
| T3–T4: thyroid hormone |
| PTH |
| Calcitonin |
| ACTH |
| Catecholamines (adrenaline) |
ACTH, adrenocorticotropic hormone; AFP, alpha fetoprotein; AChR, acetylcholine receptor; Beta-HCG, beta human chorionic gonadotropin; CEA, carcinoembryonic antigen; LDH, lactate dehydrogenase; MuSK, muscle specific tyrosine kinase; NSE, neuron specific enolase; PTH, parathyroid hormone.
When to biopsy mediastinal tumors?
Pretreatment tissue biopsy of mediastinal lesions is not always required when clinical diagnosis is confirmed or highly probable based on the above-mentioned findings.
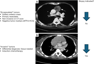
Also, an incisional biopsy in a patient with a solitary, well circumscribed, solid, non-invasive (encapsulated) and resectable mediastinal tumor on preoperative imaging and with negative tumor markers is contraindicated in order to avoid tumor spilling that may increase the risk for pleural tumor spread during late follow-up. This is especially the case for TET. Primary resection without preoperative tissue diagnosis is then advocated (Figure 1A). In a survey of members of the European Society of Thoracic Surgeons reported in 2011, the uselessness of a routine histologic confirmation before surgery was queried. Ninety one percent of the responding centers do not routinely look for histological confirmation when thymoma is suspected. The most frequent comment was that in case CT scan strongly suggests the presence of a thymoma (small, resectable, encapsulated lesion with no radiological sign of invasion) or when MG is associated, no preoperative histological diagnosis is required (18). Similarly, a well circumscribed lesion in the posterior mediastinum suspicious of a benign neurogenic tumor can be resected primarily without previous biopsy when resection is indicated.
On the other hand, a surgical biopsy for histopathological, immunohistochemical and molecular analysis is indicated in patients presenting with an irregular, lobular, large tumor invading mediastinal structures (Figure 1B). Also in patients with a mediastinal mass and elevated AFP or β-HCG serum levels indicative for the presence of an extragonadal germ cell tumor, a biopsy of the mass for further analysis may occasionally be needed to exclude morphologic mimics presenting in the mediastinum. It has been reported that solitary fibrous tumor, Ewing sarcoma, or rhabdomyosarcoma may also produce elevated AFP or β-HCG serum levels (19). However, a surgical biopsy may delay needed preoperative chemotherapy and make subsequent surgery more difficult.
Establishing the correct nature of the tumor on biopsy is needed as pathology will guide neoadjuvant therapy with the hope to enhance local resectability prior to surgical exploration at a later stage (20). Also, definitive tissue diagnosis is mandatory to exclude the need for any surgical treatment and to plan definitive systemic therapy or other methods for local tumor control (e.g., in case of lymphoproliferative disease).
How to biopsy mediastinal tumors?
An ultrasound or CT-guided core needle biopsy with multiple passages may result in sufficient tissue for definitive diagnosis of tumors in the prevascular (21,22) or paravertebral (23) mediastinum. For tumors in the visceral mediastinum, endo-bronchial (EBUS) (24) or esophageal endoscopic (EUS) (25) ultrasound-guided needle aspiration may be helpful in the diagnosis of mediastinal masses of unknown etiology. However, a false negative biopsy due to inadequate tissue sampling is always possible, but less likely with a core-needle biopsy thereby avoiding a surgical biopsy.
Making a correct diagnosis on a fragmented tissue specimen is not always an easy job for a pathologist. The sensitivity and diagnostic yield of fine needle aspiration in anterior mediastinal masses is reported to be lower compared to core needle biopsy, especially for non-carcinomatous tumors such as thymomas and lymphomas (26,27). Cases with non-definitive fine needle aspiration biopsy diagnoses are largely due to sampling error and/or insufficient cellularity (28). Making a wrong histologic diagnosis on preoperative needle sampling has been reported when compared to the postoperative pathologic analysis of the resected specimen (29).
In case more adequate tissue is desired for histology, immunohistochemistry, and molecular testing to fully characterize the tumor, a surgical biopsy either minimally-invasive or occasionally via open way may be needed to obtain more tissue for histopathology and immunological staining. Depending on the exact location of the mass in any mediastinal compartment (Figure 2), different surgical approaches can be chosen varying between median or lateral cervical incision for highly located prevascular tumors, anterior mediastinotomy for parasternal lesions in the prevascular mediastinum; video-assisted mediastinoscopy as an alternative to EBUS or EUS for a mass in the visceral mediastinum; or video-assisted (VATS) or robot-assisted (RATS) thoracoscopy to biopsy a lesion in the prevascular or paravertebral mediastinum. Minimally invasive procedures such as VATS and RATS offer the possibility to also sample hilar or pleural abnormalities concomitantly identified. Occasionally a partial sternotomy or limited thoracotomy may be needed to reach the tumor for adequate tissue biopsy. In one study in patients with a suspicion of a lymphoproliferative disease extending in the prevascular and visceral compartment, the authors reported that diagnostic accuracy was lower for cervical mediastinoscopy (80.4%) compared to anterior mediastinotomy (95.9%) (30).
Taking a biopsy of a residual lesion suspicious for lymphoma recurrence on PET imaging following definitive chemo-radiotherapy can be hazardous because of dense mediastinal fibrosis. A core biopsy by opening the fibrotic capsula is needed to sample adequate tissue. Occasionally, the residual mass can be entirely resected by thymectomy to ensure that the residual fluorodeoxyglucose (FDG)-avid zone shown on PET scan is included in the specimen (Figure 3).
A frozen section is helpful to check the quality of the biopsy, but is less effective for a precise tissue diagnosis of some primary mediastinal lesions, which may have a similar histologic appearance such as thymoma and lymphoma. Flow cytometry analysis on a fresh biopsy though can be done fast and add to the diagnosis of a lymphoma, particularly lymphoblastic lymphoma.
The definitive pathological report based on histology, immunohistochemistry, and molecular testing needs to be awaited prior to initiating any treatment except in case of a life-threatening condition such as critical airway compression or superior vena cava syndrome.
Conclusions
The finding of a mediastinal mass often poses a diagnostic challenge for clinicians. Pretreatment tissue biopsy of mediastinal lesions is not always required in case the diagnosis is confirmed or highly probable based on clinical symptoms and signs, thoracic imaging and laboratory tests. Upfront surgical resection without pathologic confirmation may be indicated for well encapsulated and non-invasive suspicious mediastinal lesions. Tissue diagnosis prior to surgical resection is recommended for locally advanced or unresectable mediastinal tumors in order to confirm the suspected diagnosis and to guide induction therapy or definitive systemic treatment. An ultrasound or CT-guided core needle biopsy may result in sufficient tissue for definitive diagnosis while the diagnostic yield of fine needle biopsy is lower. A surgical biopsy may be needed to obtain more tissue for histology, immunohistochemistry and molecular testing. A frozen section is helpful to check the quality of the biopsy but is less effective for a precise tissue diagnosis.
Acknowledgments
This paper was presented as an invited lecture at the 14th Annual Meeting of the International Thymic Malignancy Interest Group, October 30–November 1, 2024, Yokohama, Japan.
Footnote
Provenance and Peer Review: This article was commissioned by the Guest Editor (Malgorzata Szolkowska) for “The Series Dedicated to the 14th International Thymic Malignancy Interest Group Annual Meeting (ITMIG 2024)” published in Mediastinum. The article has undergone external peer review.
Peer Review File: Available at https://med.amegroups.com/article/view/10.21037/med-25-29/prf
Funding: None.
Conflicts of Interest: Both authors have completed the ICMJE uniform disclosure form (available at https://med.amegroups.com/article/view/10.21037/med-25-29/coif). “The Series Dedicated to the 14th International Thymic Malignancy Interest Group Annual Meeting (ITMIG 2024)” was commissioned by the editorial office without any funding or sponsorship. P.M.C. reports consulting fees paid to his institution from MSD, Merck, and Servier; participation in an advisory board for MSD; and service as a member of the CTG/CRM Belgium. The authors have no other conflicts of interest to declare.
Ethical Statement: The authors are accountable for all aspects of the work in ensuring that questions related to the accuracy or integrity of any part of the work are appropriately investigated and resolved.
Open Access Statement: This is an Open Access article distributed in accordance with the Creative Commons Attribution-NonCommercial-NoDerivs 4.0 International License (CC BY-NC-ND 4.0), which permits the non-commercial replication and distribution of the article with the strict proviso that no changes or edits are made and the original work is properly cited (including links to both the formal publication through the relevant DOI and the license). See: https://creativecommons.org/licenses/by-nc-nd/4.0/.
References
- Van Raemdonck D. What comes out of Pandora’s box. J Thorac Cardiovasc Surg 2015;149:110-1. [Crossref] [PubMed]
- Walcot P. Pandora’s jar Hermes 1961;89:249-51.
- Carter BW, Tomiyama N, Bhora FY, et al. A modern definition of mediastinal compartments. J Thorac Oncol 2014;9:S97-101. [Crossref] [PubMed]
- Shields TW. Primary tumors and cysts of the mediastinum. In Shields TW. editor. General Thoracic Surgery. Philadelphia: Lea & Febiger; 1983:927-54.
- Evoli A, Lancaster E. Paraneoplastic disorders in thymoma patients. J Thorac Oncol 2014;9:S143-7. [Crossref] [PubMed]
- Girard N, Ruffini E, Marx A, et al. Thymic epithelial tumours: ESMO Clinical Practice Guidelines for diagnosis, treatment and follow-up. Ann Oncol 2015;26:v40-55. [Crossref] [PubMed]
- Titulaer MJ, Soffietti R, Dalmau J, et al. Screening for tumours in paraneoplastic syndromes: report of an EFNS task force. Eur J Neurol 2011;18:19-e3. [Crossref] [PubMed]
- Carter BW, Marom EM, Detterbeck FC. Approaching the patient with an anterior mediastinal mass: a guide for clinicians. J Thorac Oncol 2014;9:S102-9. [Crossref] [PubMed]
- Carter BW, Okumura M, Detterbeck FC, et al. Approaching the patient with an anterior mediastinal mass: a guide for radiologists. J Thorac Oncol 2014;9:S110-8. [Crossref] [PubMed]
- Strange CD, Truong MT, Ahuja J, et al. Imaging evaluation of thymic tumors. Mediastinum 2023;7:28. [Crossref] [PubMed]
- Ackman JB. Imaging of mediastinal masses. Magn Reson Imaging Clin N Am 2015;23:141-64. [Crossref] [PubMed]
- Ahuja J, Strange CD, Agrawal R, et al. Approach to Imaging of Mediastinal Masses. Diagnostics (Basel) 2023;13:3171. [Crossref] [PubMed]
- Sandoval JA, Malkas LH, Hickey RJ. Clinical significance of serum biomarkers in pediatric solid mediastinal and abdominal tumors. Int J Mol Sci 2012;13:1126-53. [Crossref] [PubMed]
- Ying J, Huang Y, Ye X, et al. Comprehensive study of clinicopathological and immune cell infiltration and lactate dehydrogenase expression in patients with thymic epithelial tumours. Int Immunopharmacol 2024;126:111205. [Crossref] [PubMed]
- Talerman A, van der Pompe WB, Haije WG, et al. Alpha-foetoprotein and carcinoembryonic antigen in germ cell neoplasms. Br J Cancer 1977;35:288-91. [Crossref]
- Lazzarino M, Orlandi E, Klersy C, et al. Serum CA 125 is of clinical value in the staging and follow-up of patients with non-Hodgkin’s lymphoma: correlation with tumor parameters and disease activity. Cancer 1998;82:576-82.
- Marcuse F, Hochstenbag M, Hoeijmakers JGJ, et al. Subclinical myasthenia gravis in thymomas. Lung Cancer 2021;152:143-8. [Crossref] [PubMed]
- Ruffini E, Van Raemdonck D, Detterbeck F, et al. Management of thymic tumors: a survey of current practice among members of the European Society of Thoracic Surgeons. J Thorac Oncol 2011;6:614-23. [Crossref] [PubMed]
- Fichtner A, Marx A, Ströbel P, et al. Primary germ cell tumours of the mediastinum: A review with emphasis on diagnostic challenges. Histopathology 2024;84:216-37. [Crossref] [PubMed]
- Yue J, Gu Z, Yu Z, et al. Pretreatment biopsy for histological diagnosis and induction therapy in thymic tumors. J Thorac Dis 2016;8:656-64. [Crossref] [PubMed]
- Saito T, Kobayashi H, Sugama Y, et al. Ultrasonically guided needle biopsy in the diagnosis of mediastinal masses. Am Rev Respir Dis 1988;138:679-84. [Crossref] [PubMed]
- Ben-Yehuda D, Polliack A, Okon E, et al. Image-guided core-needle biopsy in malignant lymphoma: experience with 100 patients that suggests the technique is reliable. J Clin Oncol 1996;14:2431-4. [Crossref] [PubMed]
- Sinner WN. The direct approach to posterior mediastinal masses by fine-needle biopsy. Oncology 1985;42:187-92. [Crossref] [PubMed]
- Yasufuku K, Nakajima T, Fujiwara T, et al. Utility of endobronchial ultrasound-guided transbronchial needle aspiration in the diagnosis of mediastinal masses of unknown etiology. Ann Thorac Surg 2011;91:831-6. [Crossref] [PubMed]
- Hünerbein M, Ghadimi BM, Haensch W, et al. Transesophageal biopsy of mediastinal and pulmonary tumors by means of endoscopic ultrasound guidance. J Thorac Cardiovasc Surg 1998;116:554-9. [Crossref] [PubMed]
- Nasit JG, Patel M, Parikh B, et al. Anterior mediastinal masses: A study of 50 cases by fine needle aspiration cytology and core needle biopsy as a diagnostic procedure. South Asian J Cancer 2013;2:7-13. [Crossref] [PubMed]
- Petranovic M, Gilman MD, Muniappan A, et al. Diagnostic Yield of CT-Guided Percutaneous Transthoracic Needle Biopsy for Diagnosis of Anterior Mediastinal Masses. AJR Am J Roentgenol 2015;205:774-9. [Crossref] [PubMed]
- Assaad MW, Pantanowitz L, Otis CN. Diagnostic accuracy of image-guided percutaneous fine needle aspiration biopsy of the mediastinum. Diagn Cytopathol 2007;35:705-9. [Crossref] [PubMed]
- Robinson LA, Dobson JR, Bierman PJ. Fallibility of transthoracic needle biopsy of anterior mediastinal masses. Thorax 1995;50:1114-6. [Crossref] [PubMed]
- Elia S, Cecere C, Giampaglia F, et al. Mediastinoscopy vs. anterior mediastinotomy in the diagnosis of mediastinal lymphoma: a randomized trial. Eur J Cardiothorac Surg 1992;6:361-5. [Crossref] [PubMed]
Cite this article as: Van Raemdonck D, Clement PM. Mediastinal tumors: why, when, and how to biopsy? Mediastinum 2025;9:24.

