Case report: awake Chamberlain mediastinotomy under hypnosis to prevent complete airway obstruction and cardiovascular collapse
Highlight box
Key findings
• Anterior mediastinotomy according to Chamberlain approach allowed the retrieval of sufficient fresh tissue for an accurate immunohistochemical diagnosis, while avoiding more invasive and traumatic surgical approaches such as sternotomy. This approach is particularly valuable in high-risk patients where general anesthesia could exacerbate airway or cardiovascular collapse. In this context the procedure was successfully performed under local anesthesia and hypnosis in selected patients to avoid anesthesiological risks due the compression that anterior mediastinal mass can exert.
What is known and what is new?
• For large anterior mediastinal masses, obtaining a biopsy with sufficient fresh tissue is essential for accurate diagnosis and target treatment. However, this procedure often carries significant anesthesiological risks of airway and cardiovascular compression during general anesthesia.
• For anterior mediastinal masses with high anesthesiological risk under general anesthesia, local anesthesia combined with hypnosis can be used as a safe and effective alternative.
What is the implication, and what should change now?
• This case demonstrates that performing anterior mediastinotomy under local anesthesia and hypnosis is a safe and effective alternative to general anesthesia for selected patients with large anterior mediastinal masses. Moving forward, surgical teams should consider adopting this approach to reduce anesthetic risks and improve patient outcomes in high-risk cases.
Introduction
Anterior mediastinal masses can have a wide range of differential diagnosis. Surgical biopsies can be necessary to get sufficient material and an anterior mediastinotomy according to Chamberlain is a widely used option (1). This approach allows access to the anterior mediastinum avoiding a sternotomy. Figure 1 illustrates the modified Chamberlain mediastinotomy—i.e., without costotomy. This surgery is usually performed under general anesthesia and carries significant risks for the patients. The principal risks include compression of the superior vena cava leading to a cardiovascular collapse and complete airways obstruction by direct compression of the mass due to the relaxation needed for endotracheal intubation (2-4). We describe a case in which we proceeded to a surgical biopsy through an anterior mediastinotomy under hypnosis and local anesthesia. We present this case in accordance with the CARE reporting checklist (available at https://med.amegroups.com/article/view/10.21037/med-25-25/rc).
Case presentation
A 45-year-old female presented with lower left thoracic wall pain and fatigue. Routine lab tests, including complete blood count and comprehensive metabolic panel, were unremarkable except from elevated D-dimers at 10,488 ng/mL (reference <500 ng/mL).
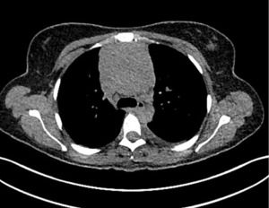
A thoracic computed tomography (CT) scan (Figure 2) revealed a large anterior-superior mediastinal mass of 80 mm × 67 mm with malignant left pleural effusion. The core biopsy was consistent with a myeloid sarcoma (MS), a rare extramedullary manifestation of acute myeloid leukemia (AML), according to World Health Organization (WHO) 2022 classification and the International Consensus Classification (ICC) 2022. The fluorine 18-labeled fluorodeoxyglucose (FDG) positron emission tomography (PET)-CT (Figure 3) showed increased FDG uptake by the mediastinal mass, the presence of numerous hypermetabolic lymph nodes on both sides of the diaphragm and a thickened left pleura. The bone marrow biopsy was negative for AML and a new large surgical biopsy of the mediastinal mass had to be performed for fresh tissue samples, in order to perform flow cytometry, molecular and cytogenetic analysis.
The multidisciplinary tumor board opted for an anterior mediastinotomy to collect sufficient tissue samples for the various analysis. Due to the size of the tumor, general anesthesia was associated with a very high risk of airway obstruction and vena cava compression. After thorough discussions between surgery and anesthesia teams, an alternative approach, with the employment of hypnosis paired with local anesthesia, was considered. It is worth mentioning that the patient had no prior hypnosis experience, but she was very willing to try this new technique.
The hypnotherapist visited the patient in her room. During a 20-minute session, the patient shared a positive memory and described it in detail.
In the operating room, the patient was in the supine position. A venous catheter and standard monitoring were applied to the patient. The anesthesiologist induced hypnosis using the Ericksonian technique (5). The patient was invited to focus on a point with her eyes, then to concentrate on her breathing, and finally to relive the positive memory she had chosen and described earlier. The hypnotherapist described the place, the colors, the smells, using a calm and monotonous voice. The therapist spoke throughout the entire procedure, employing techniques to dissociate the patient from the operating room. A continuous infusion of remifentanil was started with target controlled infusion (TCI) in a peripheral venous line and was modified as required. The target of our continuous infusion of remifentanil (mode TCI – target controlled infusion) was between 1 ng/mL and 3 ng/mL during the surgery. Paracetamol 1 g, ketorolac 30 mg and midazolam 0.1 mg were given before incision. The depth of sedation was monitored clinically, and the patient maintained a Ramsay Sedation Score of 2, which corresponds to an “awake, calm, and cooperative” state.
Surgeons proceeded with disinfection and draping once the patient was in state of well-being thanks to hypnosis. Local anesthesia was infiltrated through the cutaneous and subcutaneous planes and extended into the second intercostal space at the site of incision with 25 mL of lidocaïne 1% with adrenaline 1/200,000 was performed. Once the local anesthesia had taken effect, we made an incision of 5 cm at the level of the 2nd left intercostal space (Figure 4A, Video 1). This step was followed by dissection between the fibers of the pectoral muscle then by incision of the intercostal space. This allowed clear visualization of the waxy white tumor. We performed four cold blade biopsies in a square of 1 cm × 1 cm × 1 cm with a scalpel (Figure 4B). The biopsies were followed by careful hemostasis. During the procedure the pleural space was opened, and the resulting pneumothorax was evacuated only by aspiration before definitive skin closure (Figure 4C,4D). The surgery lasted 28 minutes.
After surgery, the patient emerges from hypnosis in operating room and she went to the recovery room. The hypnotherapist visited the patient and checked that the patient was correctly oriented in time and space. After 42 minutes, she was discharged from the recovery with a Visual Analog Scale for pain of 0/10. The postoperative chest X-ray was unremarkable. The patient was pleasantly surprised by the care and support. She evaluated her comfort of 7/10 during the procedure. Ever since, she uses hypnosis through every procedure (bone marrow biopsy, lumbar puncture, chemotherapy etc.). It is a new personal resource for the patient.
The molecular genetics of the biopsy that was conducted revealed a MS with complex karyotype and the presence of NF1 and PHF6 mutations, presenting a risk according to European Leukemia Net (ELN) classification. The patient opted to immediately began the induction chemotherapy with “3+7” (doxorubicine + cytarabine) and due to the high risk of relapse, will need to undergo allogeneic stem cell transplantation at first complete remission.
All procedures performed in this study were in accordance with the ethical standards of the institutional and/or national research committee(s) and with the Declaration of Helsinki and its subsequent amendments. Informed consent was obtained from the patient for publication of this case report and accompanying images and video documented in her medical record. A copy of the written consent is available for review by the editorial office of this journal.
Discussion
Hypnosis began to take its place in surgery in the 19th century for breast surgery (6). In recent years, surgery under hypnosis has become increasingly widespread also in other surgical fields including thoracic surgery. However, this technique is limited for carefully selected patients with a good understanding for risks involved to undergo general anesthesia and for the great advantages of hypnosis. As in our clinical case, general anesthesia carried too much risk for the patient. Due to the size of the tumor, several risks related to general anesthesia were highlighted by the anesthesia team including risk of airway collapse, bronchospasm and compression of the superior vena cava (2-4,7). In the case of compression of the superior vena cava, the consequences would include an alteration of blood flow from the superior vena cava to the right atrium and venous congestion of the face and upper limbs (4). However, recent literature has shown that, under direct visualization, general anesthesia does not necessarily worsen airways collapse in patient with anterior mediastinal masses (8). Nevertheless, given the heterogeneity of clinical presentations and variability institutional experience, the multidisciplinary team in our case was opted for an awake surgical approach with hypnosis, as general anesthesia was considered to carry excessive risk for the patient.
In this context, surgery under local anesthesia with hypnosis was proposed and accepted by the patient. Hypnosis is a non-invasive and safe alternative to general anesthesia for certain procedures and selected patients. In order to conduct this procedure, the surgeon must be experienced and competent, as well as every medical professional involved in the operation.
Conclusions
In order to avoid airway and circulatory collapse, due to its feasibility, anterior mediastinotomy according to Chamberlain under local anesthesia and hypnosis should be considered by thoracic surgeons. It has been established that it reduces the risks associated with general anesthesia in patients with an anterior mediastinal mass requiring surgical biopsy. This operation, however, must be performed by an experienced surgeon and with prescreened patients in medical centers with anesthesiologists trained in hypnosis.
Acknowledgments
This study would not have been possible without the support of the Hematology, Anesthesiology, and Surgery Departments of the Cantonal Hospital of Fribourg. And we sincerely thank the Cantonal Hospital of Fribourg for its financial support.
Footnote
Reporting Checklist: The authors have completed the CARE reporting checklist. Available at https://med.amegroups.com/article/view/10.21037/med-25-25/rc
Peer Review File: Available at https://med.amegroups.com/article/view/10.21037/med-25-25/prf
Funding: The study was supported by
Conflicts of Interest: All authors have completed the ICMJE uniform disclosure form (available at https://med.amegroups.com/article/view/10.21037/med-25-25/coif). J.L. reports receiving payments/honoraria for lectures from Medtronic and serving on a Data Safety Monitoring Board or Advisory Board for AstraZeneca. The other authors have no conflicts of interest to declare.
Ethical Statement: The authors are accountable for all aspects of the work in ensuring that questions related to the accuracy or integrity of any part of the work are appropriately investigated and resolved. All procedures performed in this study were in accordance with the ethical standards of the institutional and/or national research committee(s) and with the Declaration of Helsinki and its subsequent amendments. Informed consent was obtained from the patient for publication of this case report and accompanying images and video documented in her medical record. A copy of the written consent is available for review by the editorial office of this journal.
Open Access Statement: This is an Open Access article distributed in accordance with the Creative Commons Attribution-NonCommercial-NoDerivs 4.0 International License (CC BY-NC-ND 4.0), which permits the non-commercial replication and distribution of the article with the strict proviso that no changes or edits are made and the original work is properly cited (including links to both the formal publication through the relevant DOI and the license). See: https://creativecommons.org/licenses/by-nc-nd/4.0/.
References
- McNeill TM, Chamberlain JM. Diagnostic anterior mediastinotomy. Ann Thorac Surg 1966;2:532-9. [Crossref] [PubMed]
- Azizkhan RG, Dudgeon DL, Buck JR, et al. Life-threatening airway obstruction as a complication to the management of mediastinal masses in children. J Pediatr Surg 1985;20:816-22. [Crossref] [PubMed]
- Sarkiss M, Jimenez CA. The evolution of anesthesia management of patients with anterior mediastinal mass. Mediastinum 2023;7:16. [Crossref] [PubMed]
- Chaudhary K, Gupta A, Wadhawan S, et al. Anesthetic management of superior vena cava syndrome due to anterior mediastinal mass. J Anaesthesiol Clin Pharmacol 2012;28:242-6. [Crossref] [PubMed]
- Kiarsis V. Understanding Ericksonian Hypnotherapy: Selected Writings of Sidney Rosen. Routledge; 2020.
- Fuge CA. Bedford Square. A connexion with mesmerism. Anaesthesia 1986;41:726-30. [Crossref] [PubMed]
- Belknap AR, Krause JR. Myeloid sarcoma causing airway obstruction. Proc (Bayl Univ Med Cent) 2017;30:195-6. [Crossref] [PubMed]
- Hartigan PM, Karamnov S, Gill RR, et al. Mediastinal Masses, Anesthetic Interventions, and Airway Compression in Adults: A Prospective Observational Study. Anesthesiology 2022;136:104-14. [Crossref] [PubMed]
Cite this article as: Simioni L, Stiennon O, Lutz JA, Efthymiou A, Rouiller B. Case report: awake Chamberlain mediastinotomy under hypnosis to prevent complete airway obstruction and cardiovascular collapse. Mediastinum 2025;9:29.


