Overview of malignant central airway obstruction
Review Article

Overview of malignant central airway obstruction

Rachel E. Powers1, Audra J. Schwalk2^

1McGovern Medical School, The University of Texas Health Sciences Center, Houston, TX, USA; 2Division of Pulmonary and Critical Care, The University of Texas Southwestern Medical Center, Dallas, TX, USA

Contributions: (I) Conception and design: Both authors; (II) Administrative support: None; (III) Provision of study materials or patients: None; (IV) Collection and assembly of data: Both authors; (V) Data analysis and interpretation: Both authors; (VI) Manuscript writing: Both authors; (VII) Final approval of manuscript: Both authors.

^ORCID: 0000-0002-1353-4824.

Correspondence to: Audra J. Schwalk, MD, MBA, DAABIP. Professional Office Building II, Division of Pulmonary and Critical Care, The University of Texas Southwestern Medical Center, 5939 Harry Hines Blvd., Dallas, TX 75390, USA. Email: Audra.Schwalk@utsouthwestern.edu.

Abstract: Malignant central airway obstruction (MCAO) impacts many patients with advanced primary lung cancers and metastatic disease to the thorax and may cause substantial symptoms and functional limitations in those affected. Making the diagnosis may be challenging as symptoms are often non-specific but identification is improved with a heightened level of suspicion and newer thoracic imaging modalities. Bronchoscopy plays a crucial role in the diagnosis and management of MCAO and therapeutic interventions may be lifesaving and result in palliation of symptoms. This may ultimately improve a patient’s candidacy to receive additional systemic or local cancer therapies or potential tumor resection. After initial stabilization, it is important that patients with MCAO undergo prompt evaluation and treatment. Multiple bronchoscopic instruments are available for management depending on tumor characteristics, location of the obstruction, and viability of distal airways, and may be utilized in combination during therapeutic procedures. These modalities include dilation, endobronchial stent placement, thermal and non-thermal ablation, mechanical debulking, and novel endobronchial therapies. While these procedures are not without risk, there is ample evidence showing improvements in patient symptoms, quality of life, and survival following therapeutic bronchoscopy. This review article provides a general overview of the diagnosis and management of MCAO with a focus on bronchoscopic interventions.

Keywords: Malignant central airway obstruction (MCAO); therapeutic bronchoscopy; interventional pulmonology; lung cancer; thermal ablation


Received: 26 September 2022; Accepted: 25 June 2023; Published online: 11 July 2023.

doi: 10.21037/med-22-44


Introduction

Central airway obstruction (CAO), defined as a limitation to airflow in the trachea, mainstem bronchi, and bronchus intermedius, may contribute to significant morbidity and mortality for affected patients. It can be caused by a multitude of malignant and non-malignant etiologies and is, unfortunately, frequently encountered by physicians managing thoracic disorders. Surgical resection with curative intent is ideal but may not be feasible in advanced malignant disease, therefore, treatments are then focused on restoring airway patency and palliating symptoms. The American College of Chest Physicians evidence-based clinical practice guidelines recommend therapeutic bronchoscopy utilizing various tools for relief of malignant central airway obstruction (MCAO) in patients with inoperable disease to relieve airway obstruction and improve dyspnea, cough, hemoptysis, and quality of life (1). Bronchoscopic management of MCAO may occasionally be definitive, but particularly with the development of new cancer therapies, its role in providing a life-saving bridge for eligible patients cannot be understated. This review focuses on the diagnosis and general management of MCAO with a focus on bronchoscopic interventions. The discussion of non-MCAO is beyond the scope of this article but is certainly an important topic to explore.


Prevalence

It is difficult to determine the specific incidence and prevalence of MCAO, but it has previously been estimated that 20–30% of lung cancer patients may experience CAO-related complications (2) and that as many as 40% of lung cancer deaths are related to locoregional disease (3). A more recent cohort review found that 13% of patients with newly diagnosed lung cancer had CAO at presentation, and an additional 5% developed this complication within four years of diagnosis (4). More recent estimates of MCAO are likely lower due to the shift in lung cancer epidemiology towards peripheral adenocarcinoma rather than squamous cell carcinoma which more frequently affects the central chest (5-7). Differences in diagnostic modalities used to evaluate respiratory symptoms also contribute to the difficulty in determining the exact frequency of MCAO. Additionally, it may be underreported on chest imaging as highlighted in a small retrospective review of patients that underwent therapeutic interventions for CAO in which radiologists failed to identify CAO in 31% of the images (8).


Etiology

Malignant CAO may develop in the setting of direct extension from an adjacent tumor, extrinsic compression from surrounding structures, metastatic disease and, less commonly, primary endobronchial malignancies (2).

The most common etiology of MCAO is invasion from an adjacent tumor, primarily bronchogenic carcinoma (2). As mentioned previously, squamous cell carcinoma has a predilection for growth in the central chest and accounts for more than 50% of malignant CAO from non-small cell lung cancer (9). Small cell lung cancer, the third most common subtype of lung cancer, typically presents as a perihilar mass with lymphadenopathy which may cause central airway compression (10). Thyroid, laryngeal, and esophageal malignancies may also directly invade the central airways causing obstruction from endobronchial involvement, airway compression or fistulas (2,11).

Whereas pulmonary metastases from extrathoracic malignancies are relatively common, endobronchial metastases occur much less frequently, with breast, renal, and colorectal cancer most commonly being reported (2,9,11). Lymph node metastasis, however, can lead to CAO even with more peripherally located primary lesions (2).

Although rare, primary tracheobronchial tumors may also cause airway obstruction (12). Adenoid-cystic carcinoma and squamous cell carcinoma account for most primary tracheal tumors whereas endobronchial carcinoid tumors are the primary airway malignancy occurring distal to the carina (9,11).


Classifications

Tumors causing CAO are primarily described by their location in relation to the lumen of the airway: endoluminal, extrinsic, or mixed (Figure 1). Other key factors to consider when classifying CAO are location and degree of stenosis. Together, these three characteristics contribute to symptomatology, define treatment options, and predict treatment outcomes. While endoluminal tumors typically require debulking, extrinsic compression of the airway can be treated with dilation and potentially stenting. Treatment of obstructions with both endo- and extraluminal components utilizes a multi-modality approach (Figure 2).

Figure 1 Types of malignant central airway obstruction: (A) endoluminal obstruction secondary to carcinoid tumor originating from the right upper lobe; (B) primarily extraluminal obstruction from left lower lobe subsegmental compression; (C) mixed obstruction from right paratracheal mass with endotracheal extension.
Figure 2 Types of airway obstruction pre- and post-intervention: (A) endoluminal tumor in the left mainstem bronchus seen on chest CT and (B) bronchoscopy; (C) the tumor was removed with an electrocautery snare and the tumor base was treated with APC; (D) significant LMS bronchus narrowing as seen on chest CT airway reconstruction; (E) extraluminal obstruction of the LMS as seen during bronchoscopy; (F) improvement in LMS bronchus diameter after endobronchial stent placement and balloon dilation; (G) right mainstem and bronchus intermedius narrowing as seen on chest CT; (H) obstruction secondary to endobronchial squamous cell carcinoma and extrinsic compression from the subcarinal lymphadenopathy and right lower lobe mass; (I) APC was used for coagulation and tumor ablation followed by balloon dilation and endobronchial stent placement. CT, computed tomography; APC, argon plasma coagulation; LMS, left mainstem.

The degree of stenosis, often reported as a percentage of the airway lumen that is occluded, may be correlated with the severity of symptoms, and impacts the treatment modalities that can be used. Many classification systems have been proposed to better guide treatment decisions and predict treatment outcomes. The first classification system for laryngotracheal stenosis described by Cotton in 1984 assigned a grade to disease based on cross-sectional area of the airway (13). Additional studies performed over the following 10 years expanded upon this first classification system but primarily focused on various surgical outcomes for management of upper airway stenosis while excluding more distal airways (14-16).

In 2007, Freitag et al. proposed a more comprehensive classification system with the goal of unifying descriptions to allow for direct comparison of outcomes for various therapeutic approaches, including bronchoscopy (17). This was the first classification system to include airways distal to the trachea. The type (structural or dynamic/functional) and degree of stenosis are scored in each of five locations within the airway. The degree of stenosis is indicated by a value from 0 (no stenosis) to 5 (100% stenosis) and the position of that value within the final score indicates where the stenosis is located within the airway among the five locations (17). Despite systems for standardized reporting, severity of airway obstruction is often arbitrary based on proceduralist interpretation and is frequently underestimated, therefore more objective methods for measurement are needed (18).


Clinical manifestations

Symptoms of CAO are often non-specific, and patients may be misdiagnosed and treated repeatedly for more common respiratory conditions. The site of obstruction and rate of disease progression greatly impacts the onset and degree of symptoms. Dyspnea is one of the most frequently reported symptoms of MCAO and it is commonly reported that patients will develop dyspnea on exertion when the airway lumen diameter is less than 8 mm and symptoms at rest when it decreases to 5 mm, but it is important to acknowledge the development of symptoms from CAO is multifactorial (19).

Patients will develop symptoms once an obstruction impedes airflow to a degree that increases their work of breathing (20), therefore the severity of symptoms also depends upon a patient’s baseline cardiopulmonary status and their ability to compensate for the obstruction. Those with decreased cardiopulmonary reserve, such as chronic obstructive pulmonary disease (COPD), would be more likely to become symptomatic with a lower degree of stenosis, but in other patients, significant narrowing of the airway can be present before symptoms develop. The extent of post-obstructive changes, involvement of thoracic vasculature, overall stamina, pain, and psychological conditions may also affect symptom severity and perception (19). Aside from dyspnea, a multitude of other symptoms may be reported, including cough, hemoptysis, orthopnea, and chest discomfort, among others (4,21).

Another significant source of symptoms from MCAO is secondary to involvement of major thoracic vessels. Extrinsic superior vena cava (SVC) syndrome is most commonly caused by lung cancer, either via direct extension of the primary tumor or from lymph node metastases (22) but can occur with other malignancies. It is an important condition to recognize as palliative treatment options are available and may be necessary prior to proceeding with airway directed procedures or additional cancer therapies (23). Symptoms of SVC syndrome include swelling of the upper extremities, facial plethora, dyspnea, and headache. Characteristic imaging abnormalities are often present prior to the development of symptoms and include thrombosis or narrowing of the SVC, mediastinal masses or lymphadenopathy and presence of collateral vessels. Tumors involving the central chest or hilum can also cause compression of the pulmonary arteries, as can post-treatment effects such as scarring from radiation. Malignancies with arterial involvement are often difficult to resect and are therefore more likely to require chemotherapy or radiation for palliation of symptoms.


Diagnostic evaluation

Clinical history and physical exam

Identification of MCAO may be challenging, particularly in patients without a prior history of malignancy. Obtaining a detailed medical history and performing a thorough physical exam is crucial and may provide clues to the diagnosis. History may be notable for persistent symptoms despite repeated treatment of presumed pneumonia, COPD, or asthma exacerbations. Physical exam may reveal crackles, evidence of consolidation, wheezing that is often unresponsive to bronchodilators or even stridor in extreme cases of airway narrowing. The location of wheezing does not necessarily predict the location of the obstruction, but the presence of unilateral wheezing on exam suggests obstruction distal to the carina and should always prompt further evaluation for CAO (2,9).

Imaging

Chest X-ray is one of the first diagnostic studies performed in patients with respiratory symptoms but is typically not diagnostic for CAO, particularly in identifying a specific etiology (2). It may, however, reveal atelectasis, tracheal deviation, or parenchymal abnormalities suggestive of malignancy (9). It may also help lateralize abnormalities which may be crucial for intervention planning in emergent situations.

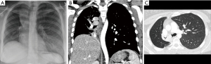
Chest computed tomography (CT) is a more sensitive study for evaluation of the airway lumen (Figure 3). Not only can a chest CT show endoluminal masses or extrinsic airway compression, but it may also reveal other signs of CAO including atelectasis, post-obstructive pneumonia, and dynamic airway collapse (2,21). Multi-detector CTs provide three-dimensional information to better characterize luminal involvement of lesions, more accurately measure their size, and help determine the patency of airways distal to the obstruction. CT imaging, particularly with contrast, is also crucial for delineating the relationship of airway tumors and adjacent vasculature. The information gained from CT imaging is incredibly valuable for developing the treatment approach prior to bronchoscopy, a procedure which is frequently necessary in the management of CAO and acts as both a diagnostic and therapeutic modality (2,24). It is important to note that mucus plugging and blood in association with a narrowed airway may lead to over-estimation of the length and degree of stenosis on chest CT, so lack of an obvious patent distal airway on imaging should not in itself prohibit performance of a bronchoscopy (19). Dynamic CT, an imaging method in which images are captured at the end of inspiration and during breathing, can evaluate for dynamic forms of CAO. These include tracheobronchomalacia and excessive dynamic airway collapse, conditions which may occur in conjunction with or independently from malignant CAO (21).

Figure 3 Chest X-ray (A), coronal (B) and axial chest CT (C) images from the same patient illustrating the additional detail gained with chest CT. CT, computed tomography.

Review of prior chest imaging is extremely useful as it may provide information regarding the presence of viable lung post-obstruction. There is currently no strong data to predict whether obstructed lung is salvageable but collapse greater than four weeks and imaging abnormalities suggestive of necrosis or extensive tumor involvement may indicate poor viability (25).

Bronchoscopy

Despite advances in CT imaging, conventional bronchoscopy, either flexible or rigid, is still required to obtain a tissue diagnosis and plan further treatment (2). Pathologic diagnosis is extremely important in planning interventions as tumors that are highly sensitive to chemotherapy or radiation may warrant a less aggressive bronchoscopic intervention compared to those that are expected to respond slowly. Bronchoscopy is also helpful in determining the extent of endobronchial disease and clarifying whether distal airways are involved.

There are significant potential risks when performing flexible bronchoscopy for MCAO which must be highlighted. Care must be taken as even minimal tumor manipulation by the bronchoscope may increase the amount of airway obstruction and cause complications in a previously stable airway (2). Ensuring a bronchoscopist has the appropriate training and support to manage potential complications is crucial to optimal patient outcomes.

Endobronchial ultrasound (EBUS) has proven effective for determining the extent of tracheal invasion in MCAO (2). Miyazu and colleagues evaluated patients with centrally located early-stage lung cancer and found that EBUS revealed extra-cartilaginous disease in patients previously thought to be candidates for photodynamic therapy (PDT). These patients were instead treated with alternative therapies, including resection, chemotherapy, or radiotherapy (26). EBUS can also aid in decisions regarding stent sizing, tumor debridement, and endoscopic versus surgical interventions (2).

Physiologic assessment: pulmonary function test (PFT)

PFTs may be useful in the initial evaluation of patients with possible CAO (Figure 4). The flow-volume loop will often show blunting during the effort-dependent portion of the loop before the other spirometry parameters show significant changes (2). This is due to the increased effort required to move air past the obstruction. Extrathoracic obstructions cause a plateau in the inspiratory portion of the flow-volume loop, while intrathoracic obstructions result in a plateau during expiration. While helpful for the diagnosis of CAO and evaluation of treatment response, PFTs are not indicative of the exact location or degree of stenosis and may also be normal until late in the disease (27-29). Also, due to the risk of respiratory failure, spirometry should not be performed in patients with advanced CAO (2).

Figure 4 Comparison of flow-volume loops.

Importance of recognition

Malignant CAO is associated with significant morbidity and mortality; therefore, prompt identification and proper management are of utmost importance (11). Of patients with advanced lung cancer, those presenting with CAO are much more likely to experience respiratory failure and require ventilatory support than those presenting without CAO (30). Tumor-related critical airway obstruction was also the leading cause of respiratory failure in a study of patients with newly diagnosed lung cancer that were admitted to the intensive care unit for mechanical ventilation (31).


Management and complications

Patient stabilization

The initial priority in management of patients with CAO is determining whether intubation or other urgent intervention is indicated. Signs of impending respiratory failure such as severe dyspnea or stridor require immediate intervention (32). Hospitals without the ability and expertise to perform advanced therapeutic bronchoscopy should proceed with urgent transfer to a tertiary care facility. Airway stabilization with intubation and clearance of mucus in the distal airways with a fiberoptic bronchoscope may be necessary prior to transfer to stabilize the patient, keeping in mind the potential risks associated with tumor manipulation in a critical airway (32).

In 1935, Barach first proposed the use of helium gas in the management of CAO and other respiratory conditions (20). The substitution of a lower density gas like helium for the nitrogen normally found in air improves laminar flow in the airways which decreases resistance and work of breathing while improving oxygen delivery to the alveoli (33). Heliox, a mixture of 70–80% helium with 20–30% oxygen, is now available to help stabilize patients’ respiratory status before therapeutic interventions are performed.

General considerations

Appropriate management of MCAO requires a multi-disciplinary approach and can be quite complex. Consultation with interventional pulmonologists, otorhinolaryngologists and thoracic surgeons, medical and radiation oncologists and anesthesiologists is crucial for optimal patient outcomes. Treatment options for MCAO include directed medical therapies, external beam radiation, and procedural interventions. Many patients with MCAO often have advanced disease or comorbidities that make curative surgical resection prohibitive (34), therefore bronchoscopic interventions are the mainstay of treatment, particularly when acute stabilization of the airway and urgent palliation of symptoms are necessary. In rare instances, bronchoscopic interventions may also allow for the completion of surgeries that would have otherwise not been feasible (35,36) or at a minimum, provide symptomatic improvement until definitive surgical management can be performed.

Prior to proceeding with a procedure for MCAO, it is important to carefully weigh the risks and benefits of intervention. Determination of whether the patient’s symptoms are explained by the obstruction is crucial as other conditions may present with similar symptoms and require alternative management (pleural effusion, thromboembolic event, pneumonia, etc.). Consideration of baseline performance status, overall prognosis, calculation of procedural risk and likelihood of technical success are also key.

Malignant CAO causing symptoms or loss of greater than 50% of airway patency is usually an indication for therapeutic bronchoscopy (37), but a more complete diagnostic evaluation can be obtained prior to pursuing therapeutic interventions in patients that are stable. A variety of bronchoscopic modalities are available for management of MCAO and it is helpful to categorize by those with immediate versus delayed effects and thermal versus non-thermal therapies, as patient-specific scenarios will dictate which are necessary and feasible. Tools are often used in combination and will be briefly discussed in the following sections (Figure 5).

Figure 5 Multimodal management of MCAO: (A) metastatic head and neck squamous cell carcinoma causing significant obstruction of the left and right mainstem bronchi secondary to endobronchial tumor and extrinsic compression; (B) tumor debulking was followed by placement of fully covered stents in bilateral mainstem bronchi and balloon dilation; (C) spray cryotherapy was then applied with focus on residual carinal tumor. MCAO, malignant central airway obstruction.

Overall, technical success after therapeutic bronchoscopy is usually reported to be over 90% and a recent prospective, single-center study of 100 patients with newly diagnosed MCAO determined distal airway patency on thoracic CT predicts technical success of therapeutic bronchoscopy (38). Conversely, American Society of Anesthesiologists (ASA) score >3, renal failure, primary lung cancer, tracheoesophageal fistula and left mainstem disease have all been associated with a lower likelihood of airway recanalization >50% (39). Most studies evaluating therapeutic bronchoscopy for MCAO are retrospective and the patient population is heterogenous, thus making direct comparison of specific therapeutic modalities challenging.

Anesthesia considerations

While bronchoscopy can be performed without sedation, studies have shown improved patient satisfaction, reduced procedure times, and better procedure outcomes when sedation is used (40). Patients with CAO, however, have a decreased pulmonary reserve and may be more likely to experience airway collapse because of sedation, therefore ensuring proper equipment and experienced staff are available to manage these patients is critical (19,41). Specific considerations regarding medication administration and ventilation approaches for patients with malignant CAO undergoing procedures is discussed in more detail in a separate article in this series.

Bronchoscopic interventions: flexible and rigid

Rigid bronchoscopy has the benefit of stabilizing the airway and maintaining ventilation compared to flexible bronchoscopy while still being able to perform diagnostic and therapeutic interventions and is often preferred in management of patients with severe CAO, particularly at centers with specialized equipment and professionally trained staff. Contraindications to rigid bronchoscopy are like flexible bronchoscopy but extra care must be taken in patients with complex oropharyngeal anatomy or decreased cervical spine mobility to prevent unwanted complications (9,42).

An additional benefit of rigid bronchoscopy compared to flexible is that it may allow for more optimal control of bleeding which is often an issue during management of MCAO. The rigid barrel can be positioned in the hemorrhaging airway to protect the non-bleeding lung, while providing a large working channel to allow for the passage of multiple tools, including a suction catheter, to facilitate airway clearance during coagulation and other interventions. A variety of rigid tools including electrocautery, scissors and forceps are available for endobronchial tumor debulking (Figure 6) and the beveled tip of the rigid scope can itself be used for “coring” endobronchial tumors and for manual dilation of airways. Flexible bronchoscopy, however, is still useful for transbronchial needle aspiration and assistance with interventions on lesions too distal to be reached by rigid bronchoscopy and therefore both modalities may be used in conjunction for the evaluation and management of MCAO (37).

Figure 6 Rigid bronchoscope and associated tools: (A) Karl Storz rigid bronchoscope and tracheoscope illustrating varying lengths and barrel diameters; (B) side ports for ventilation during therapeutic bronchoscopy and silicone stent placement; (C) variety of rigid tools available for use during rigid bronchoscopy; (D) rigid electrocautery suction.

Complications specifically related to the rigid bronchoscope are rare, but may range from sore throat, oropharyngeal trauma, and bronchospasm to more severe complications of airway perforation, bleeding, hypoxia and associated cardiac arrhythmias (9,43,44).


Immediate effect

Dilation

Airway dilation is the mainstay of treatment for extrinsic airway compression and may also be employed in the management of other forms of CAO. Dilation may allow for rapid improvement in airway lumen diameter and patient stabilization (2,9,45) and may be achieved by use of the rigid bronchoscope as previously described or with endoscopic balloons (balloon bronchoplasty) that are available in a variety of lengths, shapes, and sizes. The balloons are filled with increasing amounts of sterile saline and held in place at the stenotic area for average intervals of 30 to 60 seconds to successively dilate the airway. Radial airway cuts may be necessary to ensure controlled dilation, particularly in the setting of fibrotic stenosis. Balloon bronchoplasty may be performed during rigid bronchoscopy, after passage of a balloon through the working channel of a flexible bronchoscope or over a guidewire, with or without the use of fluoroscopy. In addition to therapeutic dilation, various balloons (controlled radial expansion, Fogarty, etc.) may be useful for procedure planning purposes by providing at least transient visualization of airways distal to endobronchial tumor. Dilation alone may rarely be sufficient for management of MCAO, but results are often transient thus necessitating its use in conjunction with other modalities such as endobronchial stenting or tumor ablation. Complications are rare but can include bleeding, airway tear resulting in pneumothorax or pneumomediastinum, mediastinitis and recurrence of stenosis (2,9,45).

Stents

Endobronchial stents provide support to the airway and help maintain patency in the setting of significant extrinsic compression, airway malacia or mixed obstruction. Placement is typically avoided in isolated endobronchial disease except to prevent recurrent hemoptysis from endobronchial tumors or inhibit tumor regrowth in rapidly progressive malignancies or those that are poorly responsive to treatment. A multitude of stents are available for endobronchial placement and are primarily categorized by the material with which they are made, either self-expanding metallic/hybrid or silicone. Silicone stents typically require the use of rigid bronchoscopy whereas self-expandable metallic stents (SEMS) may be placed via flexible bronchoscopy in some instances. SEMS are available for placement via direct vision through the working channel of a flexible bronchoscope at small diameters, but larger diameter SEMS are typically placed under direct visualization during rigid bronchoscopy or via fluoroscopic guidance, often over a guidewire. The choice of a specific stent is determined based on the etiology of the obstruction (malignant or non-malignant), location and extent of airway involvement as well as the airway lumen diameter and anatomy. Endobronchial stent placement is associated with near immediate improvement in functional status and quality of life as discussed below (32,46). Complications of endobronchial stents include stent migration, airway restenosis from tumor regrowth or granulation tissue, impaired clearance of secretions, and an increased risk of lower respiratory tract infections (32,47). Stent used for the management of malignant CAO will be described in more detail in a separate article in this series.

Microdebrider

The microdebrider is a tool composed of a suction catheter and rotating blades that was originally used in otorhinolaryngology procedures. A 3.2 mm outer diameter flexible microdebrider that is compatible with flexible bronchoscopy is now available but data regarding its use is primarily limited to gastrointestinal procedures (48). The commonly used microdebrider comes in two lengths and must be used through a rigid tracheoscope or bronchoscope. Tumor debulking is achieved by suctioning tumor into the microdebrider or by exerting gentle pressure on the target lesion while slowly moving the tool within the airway. The speed of the blades can be adjusted and usually ranges from 1,000 to 5,000 rpms. This tool is one form of non-thermal ablative therapy and therefore does not require a reduction in the fraction of inspired oxygen (FiO2) or a pause in jet ventilation during use, making it a potential option for management of endobronchial tumors in patients that are intolerant of decreased oxygen support. Studies have found that use of a microdebrider for tumor debulking is effective at relieving obstruction with a low risk of complications (49,50). Suction is continuously applied and assists with clearance of tumor and blood from the airway, but additional ablative therapies may rarely be needed for coagulation.

Thermal therapies

Thermal therapies transfer heat to target cells resulting in coagulation and tissue destruction. A variety of tools using both monopolar and bipolar electric currents are available for use during bronchoscopic thermal ablation procedures and may be utilized in various scenarios. A grounding pad must be placed on the patient when using monopolar tools to complete transmission of the electrical arc. A FiO2 less than 40% must also be utilized in all bronchoscopic thermal ablation procedures to avoid an airway fire, in addition to pausing manual jet ventilation during rigid bronchoscopy.

Light amplification by stimulated emission of radiation (LASER)

LASER achieves photoresection and hemostasis of endobronchial lesions with or without direct contact and has been in use since 1960 (51). Several types of LASER are available including diode, carbon dioxide (CO2), neodymium: yttrium-aluminum-perovskite (Nd:YAP), potassium titanyl phosphate (KTP) and the most utilized in interventional pulmonology, neodymium: yttrium-aluminum-garnet (Nd:YAG) (51). The depth of penetration varies depending on the laser wavelength and target tissue composition and cannot necessarily be estimated by the appearance of the treated tissue. Lasers should be fired parallel to the airway with visualization of distal subsegments for maximal safety and proximity to major vessels and other mediastinal structures should be considered during use. Lasers are effective at achieving rapid relief of obstruction and palliation of symptoms with rare complications when used by an educated operator. Most common reported complications include hemorrhage, endobronchial fire, airway perforation, delayed stricture, and air embolism (2,9,19,51).

Argon plasma coagulation (APC)

APC is a form of non-contact monopolar electrosurgery which uses ionized argon gas to conduct an electric current to nearest tissue via a specialized probe. Depending on the probe selected, the gas may be directed forward, circumferentially or to the side. Depth of penetration is typically 1 to 3 mm and is dependent on the flow rate of the gas, power settings and mode of energy used (pulsed, forced, or precise), all of which can be adjusted on the workstation. APC can be successfully used for endoluminal tissue destruction and coagulation in the management of various etiologies of MCAO. Complications are similar to other forms of thermal ablation but also include a risk of potentially fatal gas embolism which may manifest as cardiovascular collapse, electrocardiogram (ECG) changes or stroke. Gas flow should be minimized as able (52,53).

Electrocautery

Electrocautery uses an electric current to heat, coagulate, resect, and vaporize target tissue. Multiple electrocautery tools are available for use via flexible or rigid bronchoscopy including snares, knives, probes, and forceps which may be useful for a variety of endobronchial lesions. Electrocautery systems with integrated continuous suction are also available for use via rigid bronchoscopy but a comparable flexible system (CoreCath, Medtronic Advanced Energy LLC, Portsmouth, NH, USA ) is no longer in production. Unlike LASER therapy, tissue effects can be seen immediately and correlate well with visual inspection with an expected penetration depth of 1 to 2 mm (54). Tissue effects vary depending on the power used, application time, pressure exerted by the tool and tissue composition. Power can be adjusted based on the device selected and generally ranges from 10 to 40 Watts. Electrocautery is commonly used for management of MCAO with an excellent technical success rate and resultant palliation of symptoms (9,55-57). There is potential for pacemaker and implantable cardiac defibrillator malfunction so caution must be taken in patients with these devices, otherwise, the complication profile is like other thermal ablation modalities (9).


Immediate or delayed effect

Cryotherapy

Cryotherapy causes tissue destruction after exposing cells to extreme cold temperatures (lower than −40 ℃). This is achieved when gas, primarily carbon dioxide or nitrous oxide, moves from high pressure to low pressure allowing it to quickly expand and result in drastic temperature changes (Joule-Thomson effect). This extreme low temperature rapidly freezes cells and causes a multitude of local effects including intracellular crystal formation, vasoconstriction, tumor microthrombi and cell death. Cryoprobes may be rigid, semirigid or flexible and newer cryoprobes are disposable and available in a variety of sizes.

Cryotherapy may provide near immediate improvement in airway obstruction when used for recanalization. During this method, the cryoprobe is placed in contact with target tissue and frozen to the surface, followed by swift removal of the bronchoscope and cryoprobe from the airway, resulting in piecemeal tumor removal. Cryodebulking (cryorecanalization) is usually a slower process compared to thermal ablation modalities and is typically not utilized in emergencies. Cryotherapy may also be applied using a freeze-and-thaw method which causes delayed tumor death with resultant sloughing and improvement in airway lumen diameter. Lastly, a newer modality utilizing spray cryotherapy is available which allows for efficient freezing of a large area (often near −200 ℃), also causing delayed tumor effects. There is a risk of arrhythmia, barotrauma, and pneumothorax with spray cryotherapy so methods to vent the airway are recommended. There is no risk of airway fire necessitating a decreased FiO2, but the hemostatic effects of cryotherapy are minimal, therefore increased bleeding risk has been reported (58-61).


Delayed effect

Brachytherapy

Endobronchial brachytherapy involves the delivery of radiation near or in an airway tumor and may be utilized for intrinsic, extrinsic, or mixed lesions. A catheter is placed within the airway lumen via flexible bronchoscopy and confirmed via fluoroscopy, after which radioactive seeds, such as iridium-192, are loaded into the catheter. Tumor destruction is delayed but results in an improvement in airway diameter and associated symptom palliation (62). High-dose-rate brachytherapy is most used compared to low- or intermediate-dose rates given the significantly shorter procedure time which makes it feasible to perform on an outpatient basis. Brachytherapy may be used to treat subsegmental or peripheral lesions inaccessible to other ablative therapies and in conjunction with external beam radiation. Complications include radiation bronchitis, hemorrhage, fistula formation, bronchial stenosis, bronchospasm, and catheter displacement leading to inadvertent radiation of normal tissues (9,19,63,64).

PDT

PDT involves systemically injecting patients with a photosynthesizing compound, most commonly porphyrin sodium (Photofrin, Pinnacle Biologics Inc., Bannockburn, IL, USA) which is preferentially absorbed by malignant cells. This is followed by targeted application of laser therapy (680 nm wavelength for Photofrin) to an endoluminal lesion during a bronchoscopy performed 48 to 72 hours later. EBUS transbronchial needle-guided placement of laser catheters in extrabronchial tumors causing MCAO has also recently been reported (65). Reactive oxygen species and free radicals are generated as the laser is absorbed and energy is transferred. Direct vascular and stromal damage along with local immunological effects also occur and lead to cell death. Repeat bronchoscopy is recommended within a few days for removal of airway debris and, if additional palliation is needed, the PDT procedure may be repeated after six weeks. The most common side effect is photosensitivity so patients should be cautioned to avoid sun exposure for several weeks post-procedure. Other reported complications include bleeding, airway edema and fistula formation (2,9,19,25,66). An exploratory study using Surveillance, Epidemiology, and End Results Medicare linked data evaluated all-cause and cause-specific mortality in patients with stage III and IV non-small cell lung cancer receiving various treatment modalities. Despite some limitations, this large study demonstrated that PDT use as part of a multimodal treatment approach may add value to the management of MCAO with improved outcomes compared to non-PDT ablation techniques (67).


Newer modalities

Radiofrequency and microwave ablation (MWA)

Radiofrequency ablation involves the placement of an electrode directly into a lesion to allow for the transfer of thermal energy causing tissue destruction. Radiofrequency ablation has been successfully used for treatment of peripheral lung tumors (among other conditions) and may be effective for management of MCAO, but current research regarding its use for this indication is scant (58,68).

MWA uses dielectric hysteresis where an electromagnetic field is generated around an electrode and causes oscillations in water and other molecules within a tissue thereby generating heat and causing tumor destruction. A few studies evaluating MWA for management of MCAO are available and show promising results for airway recanalization and symptom palliation with a favorable safety profile. MWA has also safely been performed in patients with endobronchial stents and hypoxic respiratory failure that may not tolerate a FiO2 less than 40% as required for other thermal ablative therapies (69-71).

Bronchoscopic medication administration

Research regarding the administration of anti-neoplastic medications is in its early phases and has primarily focused on safety and feasibility thus far. These medications are applied topically or injected directly into a tumor primarily via EBUS-guided transbronchial needle injection. Proposed benefits include achieving high local concentrations of medications while minimizing systemic toxicity, ability to target specific draining lymph nodes and potential for synergy with additional therapies (72,73).

Complications of therapeutic interventions

The incidence of complications during therapeutic bronchoscopy interventions depends on a variety of factors. One of the largest studies that evaluated this utilized the AQuIRE database (74). This multicenter study of 1,115 procedures performed for MCAO found significant differences among 15 facilities in anesthesia type, ventilation method, use of rigid bronchoscopy, and frequency of stenting. These factors were associated with significant variation in the rate of complications at each center, with the lowest rate being 0.9% and highest 11.7%. The overall complication rate of therapeutic bronchoscopy was 3.9% and specific characteristics associated with an increased rate of complications were urgent and emergent procedures, ASA score >3, repeat therapeutic bronchoscopy, and use of moderate sedation. Just over 2% of patients experienced an adverse event such as permanent disability, need for repeat procedure, extended hospitalization, or death, which occurred in 0.5% of all patients. Adverse events were more frequent in patients with higher ASA, poorer performance status and need for repeat bronchoscopies. Thirty-day mortality was 14.8% and varied between centers with risk factors for increased mortality being ASA >3, Zubrod performance status score >1, endobronchial or mixed disease and stent placement (74). It should be acknowledged that stent placement may be required in patients with more extensive or advanced diseases and for those that have progressed despite other therapies or have limited additional treatment options available.


Therapeutic outcomes

While the risks of bronchoscopic therapies for management of MCAO are not insignificant, these interventions have shown clear physiologic, symptomatic, and survival benefits for patients (11,22,32,44,75-78). Flow volume loops post-airway stenting have been shown to return to near normal in tracheal, bronchial, and carinal stenosis. Significant improvement in peak expiratory flow and forced vital capacity may also occur depending on the location of treated stenosis (76). More importantly, an improvement in functional status and quality of life have also been associated with endobronchial stent placement (32,46). Additionally, endobronchial stenting and other bronchoscopic ablative therapies have been shown to be effective in liberating patients from mechanical ventilation (77), something that may also be feasible with external beam radiation therapy but only after some delay (75,79).

Bronchoscopic interventions also have the potential to drastically improve both dyspnea and hemoptysis related to MCAO (22). Resolution of dyspnea was seen in 94.4% of patients (34/36) with MCAO after completion of emergent rigid bronchoscopy in a small retrospective study by Jeon et al. (44). This study also found that patients receiving additional definitive treatments after bronchoscopy had a longer overall survival compared to those without other treatment options, something that has also been reported in later studies (11,44,78). A larger observational study by Ong et al. of 102 patients who underwent therapeutic bronchoscopy for MCAO reported 60% (58/96) of patients experienced clinical improvement in dyspnea with a statistically significant decrease in mean Borg score within seven days post-bronchoscopy. Health-related quality of life (HRQOL) per day of life also showed a statistically significant improvement post-procedure (78). Results from a larger multicenter registry study published by Ost et al. revealed a clinically significant improvement in HRQOL for 42% of patients who had a therapeutic bronchoscopy for malignant CAO. Those with greater baseline dyspnea were more likely to experience improvement whereas those with lobar obstruction experienced smaller improvements post-procedure (39).

One potential exception to the benefits described here is in patients with significant concomitant pulmonary artery occlusion. Airway debulking procedures may be associated with worsened gas exchange in this population because of increased dead space ventilation and worsened ventilation/perfusion mismatch (80,81).

Bridge to systemic therapies

Bronchoscopic therapies can provide valuable time for patients with MCAO during which diagnostic studies can be obtained for planning of more definitive treatment. The utility of therapeutic bronchoscopy in the management of patients with MCAO considered for curative resection has also been established. Pre-surgical therapeutic bronchoscopy using single or multiple interventional therapies often provides more detailed endobronchial staging compared to conventional bronchoscopy which may allow for increased utilization of parenchymal sparing surgeries. Therapeutic bronchoscopy is also beneficial in the treatment of post-obstructive pneumonia and for optimization of patient functional status prior to definitive resection (82). Patients with advanced non-small cell lung cancer who receive therapeutic bronchoscopy for MCAO and subsequent treatment with chemotherapy have similar survival rates as those without CAO who are also treated with chemotherapy, therefore these bronchoscopic interventions can be very impactful (83).


Conclusions

Malignant CAO can cause significant morbidity and mortality for patients with primary thoracic malignancies and cancers which metastasize to the thorax. A variety of bronchoscopic treatment options are available for MCAO management and include thermal ablative therapies, cryotherapy, dilation, stent placement and mechanical debulking. When patients are appropriately selected for interventions, these tools have the potential to improve patient symptoms and HRQOL in addition to being a bridge to more definitive cancer therapies.


Acknowledgments

The authors would like to thank Dr. Roberto Casal (Department of Pulmonary Medicine, The University of Texas MD Anderson Cancer Center) and Dr. Bruce Sabath (Department of Pulmonary Medicine, The University of Texas MD Anderson Cancer Center) for the invitation to contribute to this series.

Funding: None.


Footnote

Provenance and Peer Review: This article was commissioned by the Guest Editors (Bruce Sabath and Roberto F. Casal) for the series “Management of Airway and Vascular Invasion in the Mediastinum” published in Mediastinum. The article has undergone external peer review.

Peer Review File: Available at https://med.amegroups.com/article/view/10.21037/med-22-44/prf

Conflicts of Interest: Both authors have completed the ICMJE uniform disclosure form (available at https://med.amegroups.com/article/view/10.21037/med-22-44/coif). The series “Management of Airway and Vascular Invasion in the Mediastinum” was commissioned by the editorial office without any funding or sponsorship. The authors have no other conflicts of interest to declare.

Ethical Statement: The authors are accountable for all aspects of the work in ensuring that questions related to the accuracy or integrity of any part of the work are appropriately investigated and resolved.

Open Access Statement: This is an Open Access article distributed in accordance with the Creative Commons Attribution-NonCommercial-NoDerivs 4.0 International License (CC BY-NC-ND 4.0), which permits the non-commercial replication and distribution of the article with the strict proviso that no changes or edits are made and the original work is properly cited (including links to both the formal publication through the relevant DOI and the license). See: https://creativecommons.org/licenses/by-nc-nd/4.0/.


References

  1. Simoff MJ, Lally B, Slade MG, et al. Symptom management in patients with lung cancer: Diagnosis and management of lung cancer, 3rd ed: American College of Chest Physicians evidence-based clinical practice guidelines. Chest 2013;143:e455S-97S.
  2. Ernst A, Feller-Kopman D, Becker HD, et al. Central airway obstruction. Am J Respir Crit Care Med 2004;169:1278-97. [Crossref] [PubMed]
  3. Cox JD, Yesner RA. Causes of treatment failure and death in carcinoma of the lung. Yale J Biol Med 1981;54:201-7. [PubMed]
  4. Daneshvar C, Falconer WE, Ahmed M, et al. Prevalence and outcome of central airway obstruction in patients with lung cancer. BMJ Open Respir Res 2019;6:e000429. [Crossref] [PubMed]
  5. Boffetta P. 1-Classic Epidemiology of Lung Cancer. Pass HI, Ball D, Scagliotti GV. editors. IASLC Thoracic Oncology (Second Edition). Philadelphia: Elsevier; 2018. Available online: https://www.sciencedirect.com/science/article/pii/B9780323523578000019
  6. Lortet-Tieulent J, Soerjomataram I, Ferlay J, et al. International trends in lung cancer incidence by histological subtype: adenocarcinoma stabilizing in men but still increasing in women. Lung Cancer 2014;84:13-22. [Crossref] [PubMed]
  7. Guedes F, Branquinho MV, Sousa AC, et al. Central airway obstruction: is it time to move forward? BMC Pulm Med 2022;22:68. [Crossref] [PubMed]
  8. Harris K, Alraiyes AH, Attwood K, et al. Reporting of central airway obstruction on radiology reports and impact on bronchoscopic airway interventions and patient outcomes. Ther Adv Respir Dis 2016;10:105-12. [Crossref] [PubMed]
  9. Oberg C, Folch E, Santacruz JF. Management of malignant airway obstruction. AME Med J 2018;3:115. [Crossref]
  10. Barta JA, Powell CA, Wisnivesky JP. Global Epidemiology of Lung Cancer. Ann Glob Health 2019;85:8. [Crossref] [PubMed]
  11. Shin B, Chang B, Kim H, et al. Interventional bronchoscopy in malignant central airway obstruction by extra-pulmonary malignancy. BMC Pulm Med 2018;18:46. [Crossref] [PubMed]
  12. Semaan R, Yarmus L. Rigid bronchoscopy and silicone stents in the management of central airway obstruction. J Thorac Dis 2015;7:S352-62. [PubMed]
  13. Cotton RT. Pediatric laryngotracheal stenosis. J Pediatr Surg 1984;19:699-704. [Crossref] [PubMed]
  14. Grundfast KM, Morris MS, Bernsley C. Subglottic stenosis: retrospective analysis and proposal for standard reporting system. Ann Otol Rhinol Laryngol 1987;96:101-5. [Crossref] [PubMed]
  15. McCaffrey TV. Classification of laryngotracheal stenosis. Laryngoscope 1992;102:1335-40. [Crossref] [PubMed]
  16. Myer CM 3rd, O'Connor DM, Cotton RT. Proposed grading system for subglottic stenosis based on endotracheal tube sizes. Ann Otol Rhinol Laryngol 1994;103:319-23. [Crossref] [PubMed]
  17. Freitag L, Ernst A, Unger M, et al. A proposed classification system of central airway stenosis. Eur Respir J 2007;30:7-12. [Crossref] [PubMed]
  18. Murgu S, Colt H. Subjective assessment using still bronchoscopic images misclassifies airway narrowing in laryngotracheal stenosis. Interact Cardiovasc Thorac Surg 2013;16:655-60. [Crossref] [PubMed]
  19. Mudambi L, Miller R, Eapen GA. Malignant central airway obstruction. J Thorac Dis 2017;9:S1087-110. [Crossref] [PubMed]
  20. Barach AL. The use of helium in the treatment of asthma and obstructive lesions in the larynx and trachea. Ann Intern Med 1935;9:739-65. [Crossref]
  21. Oberg CL, Holden VK, Channick CL. Benign Central Airway Obstruction. Semin Respir Crit Care Med 2018;39:731-46. [Crossref] [PubMed]
  22. Kvale PA, Selecky PA, Prakash UB, et al. Palliative care in lung cancer: ACCP evidence-based clinical practice guidelines (2nd edition). Chest 2007;132:368S-403S.
  23. Baker GL, Barnes HJ. Superior vena cava syndrome: etiology, diagnosis, and treatment. Am J Crit Care 1992;1:54-64. [Crossref] [PubMed]
  24. Shiau M, Harkin TJ, Naidich DP. Imaging of the central airways with bronchoscopic correlation: pictorial essay. Clin Chest Med 2015;36:313-34. ix-x. [Crossref] [PubMed]
  25. Lee P, Kupeli E, Mehta AC. Therapeutic bronchoscopy in lung cancer. Laser therapy, electrocautery, brachytherapy, stents, and photodynamic therapy. Clin Chest Med 2002;23:241-56. [Crossref] [PubMed]
  26. Miyazu Y, Miyazawa T, Kurimoto N, et al. Endobronchial ultrasonography in the assessment of centrally located early-stage lung cancer before photodynamic therapy. Am J Respir Crit Care Med 2002;165:832-7. [Crossref] [PubMed]
  27. Miller RD, Hyatt RE. Evaluation of obstructing lesions of the trachea and larynx by flow-volume loops. Am Rev Respir Dis 1973;108:475-81. [PubMed]
  28. Rotman HH, Liss HP, Weg JG. Diagnosis of upper airway obstruction by pulmonary function testing. Chest 1975;68:796-9. [Crossref] [PubMed]
  29. Stoller JK. Spirometry: a key diagnostic test in pulmonary medicine. Cleve Clin J Med 1992;59:75-8. [Crossref] [PubMed]
  30. Verma A, Goh SK, Tai DYH, et al. Outcome of advanced lung cancer with central airway obstruction versus without central airway obstruction. ERJ Open Res 2018;4:00173-2017. [Crossref] [PubMed]
  31. Tseng HY, Shen YC, Lin YS, et al. Etiologies of delayed diagnosis and six-month outcome of patients with newly diagnosed advanced lung cancer with respiratory failure at initial presentation. Thorac Cancer 2020;11:2672-80. [Crossref] [PubMed]
  32. Bolliger CT, Sutedja TG, Strausz J, et al. Therapeutic bronchoscopy with immediate effect: laser, electrocautery, argon plasma coagulation and stents. Eur Respir J 2006;27:1258-71. [Crossref] [PubMed]
  33. Hallowell R, Hayes MM. Physiology and clinical use of heliox [Internet]. 2022 [2022 Aug 20]. Available online: https://www.uptodate.com/contents/physiology-and-clinical-use-of-heliox?search=heliox&source=search_result&selectedTitle=1~28&usage_type=default&display_rank=1
  34. Ali MS, Sorathia L. Palliative Care and Interventional Pulmonology. Clin Chest Med 2018;39:57-64. [Crossref] [PubMed]
  35. Cosano Povedano A, Muñoz Cabrera L, Cosano Povedano FJ, et al. Endoscopic treatment of central airway stenosis: five years' experience. Arch Bronconeumol 2005;41:322-7. [Crossref] [PubMed]
  36. Sergio C, Foccoli P, Toninelli C, et al. Nd:YAG Laser Therapy in Lung Cancer An 11-Year Experience with 2,253 Applications in 1,585 Patients. J Bronchology Interv Pulmonol 1994;1:105-11.
  37. Bolliger CT, Mathur PN, Beamis JF, et al. ERS/ATS statement on interventional pulmonology. European Respiratory Society/American Thoracic Society. Eur Respir J 2002;19:356-73. [PubMed]
  38. Freitas C, Serino M, Cardoso C, et al. Predictors of survival and technical success of bronchoscopic interventions in malignant airway obstruction. J Thorac Dis 2021;13:6760-8. [Crossref] [PubMed]
  39. Ost DE, Ernst A, Grosu HB, et al. Therapeutic bronchoscopy for malignant central airway obstruction: success rates and impact on dyspnea and quality of life. Chest 2015;147:1282-98. [Crossref] [PubMed]
  40. Goudra BG, Singh PM, Borle A, et al. Anesthesia for Advanced Bronchoscopic Procedures: State-of-the-Art Review. Lung 2015;193:453-65. [Crossref] [PubMed]
  41. Erdös G, Tzanova I. Perioperative anaesthetic management of mediastinal mass in adults. Eur J Anaesthesiol 2009;26:627-32. [Crossref] [PubMed]
  42. Ayers ML, Beamis JF Jr. Rigid bronchoscopy in the twenty-first century. Clin Chest Med 2001;22:355-64. [Crossref] [PubMed]
  43. Chaddha U, Murgu S. Complications of rigid bronchoscopy. Respirology 2021;26:14-8. [Crossref] [PubMed]
  44. Jeon K, Kim H, Yu CM, et al. Rigid bronchoscopic intervention in patients with respiratory failure caused by malignant central airway obstruction. J Thorac Oncol 2006;1:319-23. [Crossref] [PubMed]
  45. Hautmann H, Gamarra F, Pfeifer KJ, et al. Fiberoptic bronchoscopic balloon dilatation in malignant tracheobronchial disease: indications and results. Chest 2001;120:43-9. [Crossref] [PubMed]
  46. Oviatt PL, Stather DR, Michaud G, et al. Exercise capacity, lung function, and quality of life after interventional bronchoscopy. J Thorac Oncol 2011;6:38-42. [Crossref] [PubMed]
  47. Grosu HB, Eapen GA, Morice RC, et al. Stents are associated with increased risk of respiratory infections in patients undergoing airway interventions for malignant airways disease. Chest 2013;144:441-9. [Crossref] [PubMed]
  48. EndoRotor powered endoscopic debridement catheter. Interscope, Inc., Northbridge, MA; 2022.
  49. Casal RF, Iribarren J, Eapen G, et al. Safety and effectiveness of microdebrider bronchoscopy for the management of central airway obstruction. Respirology 2013;18:1011-5. [Crossref] [PubMed]
  50. Lunn W, Garland R, Ashiku S, et al. Microdebrider bronchoscopy: a new tool for the interventional bronchoscopist. Ann Thorac Surg 2005;80:1485-8. [Crossref] [PubMed]
  51. Khemasuwan D, Mehta AC, Wang KP. Past, present, and future of endobronchial laser photoresection. J Thorac Dis 2015;7:S380-8. [PubMed]
  52. Feller-Kopman D, Lukanich JM, Shapira G, et al. Gas flow during bronchoscopic ablation therapy causes gas emboli to the heart: a comparative animal study. Chest 2008;133:892-6. [Crossref] [PubMed]
  53. Reddy C, Majid A, Michaud G, et al. Gas embolism following bronchoscopic argon plasma coagulation: a case series. Chest 2008;134:1066-9. [Crossref] [PubMed]
  54. van Boxem TJ, Westerga J, Venmans BJ, et al. Tissue effects of bronchoscopic electrocautery: bronchoscopic appearance and histologic changes of bronchial wall after electrocautery. Chest 2000;117:887-91. [Crossref] [PubMed]
  55. Benn BS, Lum M, Krishna G. Bronchoscopic Treatment of Airway Obstructions With a Novel Electrosurgical Device. J Bronchology Interv Pulmonol 2021;28:34-41. [Crossref] [PubMed]
  56. Wahidi MM, Unroe MA, Adlakha N, et al. The use of electrocautery as the primary ablation modality for malignant and benign airway obstruction. J Thorac Oncol 2011;6:1516-20. [Crossref] [PubMed]
  57. Shepherd RW, Radchenko C. Bronchoscopic ablation techniques in the management of lung cancer. Ann Transl Med 2019;7:362. [Crossref] [PubMed]
  58. Chaddha U, Hogarth DK, Murgu S. Bronchoscopic Ablative Therapies for Malignant Central Airway Obstruction and Peripheral Lung Tumors. Ann Am Thorac Soc 2019;16:1220-9. [Crossref] [PubMed]
  59. Hetzel M, Hetzel J, Schumann C, et al. Cryorecanalization: a new approach for the immediate management of acute airway obstruction. J Thorac Cardiovasc Surg 2004;127:1427-31. [Crossref] [PubMed]
  60. Inaty H, Folch E, Berger R, et al. Unimodality and Multimodality Cryodebridement for Airway Obstruction. A Single-Center Experience with Safety and Efficacy. Ann Am Thorac Soc 2016;13:856-61. [Crossref] [PubMed]
  61. Moore RF, Lile DJ, Abbas AE. Current status of spray cryotherapy for airway disease. J Thorac Dis 2017;9:S122-9. [Crossref] [PubMed]
  62. Kelly JF, Delclos ME, Morice RC, et al. High-dose-rate endobronchial brachytherapy effectively palliates symptoms due to airway tumors: the 10-year M. D. Anderson cancer center experience. Int J Radiat Oncol Biol Phys 2000;48:697-702. [Crossref] [PubMed]
  63. Shaller BD, Filsoof D, Pineda JM, et al. Malignant Central Airway Obstruction: What's New? Semin Respir Crit Care Med 2022;43:512-29. [Crossref] [PubMed]
  64. Escobar-Sacristán JA, Granda-Orive JI, Gutiérrez Jiménez T, et al. Endobronchial brachytherapy in the treatment of malignant lung tumours. Eur Respir J 2004;24:348-52. [Crossref] [PubMed]
  65. Ivanick NM, Oakley ER, Kunadharaju R, et al. First-In-Human Computer-Optimized Endobronchial Ultrasound-Guided Interstitial Photodynamic Therapy for Patients With Extrabronchial or Endobronchial Obstructing Malignancies. JTO Clin Res Rep 2022;3:100372. [Crossref] [PubMed]
  66. Sorrin AJ, Kemal Ruhi M, Ferlic NA, et al. Photodynamic Therapy and the Biophysics of the Tumor Microenvironment. Photochem Photobiol 2020;96:232-59. [Crossref] [PubMed]
  67. Jayadevappa R, Chhatre S, Soukiasian HJ, et al. Outcomes of patients with advanced non-small cell lung cancer and airway obstruction treated with photodynamic therapy and non-photodynamic therapy ablation modalities. J Thorac Dis 2019;11:4389-99. [Crossref] [PubMed]
  68. Mahajan AK, Ibrahim O, Perez R, et al. Electrosurgical and Laser Therapy Tools for the Treatment of Malignant Central Airway Obstructions. Chest 2020;157:446-53. [Crossref] [PubMed]
  69. Kashiwabara K, Fujii S, Tsumura S, et al. Efficacy and safety of transbronchial microwave ablation therapy under moderate sedation in malignant central airway obstruction patients with respiratory failure: a single-institution retrospective study. J Cancer Res Clin Oncol 2021;147:2751-7. [Crossref] [PubMed]
  70. Kashiwabara K, Fujii S, Tsumura S, et al. Difference in the Overall Survival Between Malignant Central Airway Obstruction Patients Treated by Transbronchial Microwave Ablation and Stent Placement: A Single-institution Retrospective Study. Anticancer Res 2022;42:3125-31. [Crossref] [PubMed]
  71. Senitko M, Oberg CL, Abraham GE, et al. Microwave Ablation for Malignant Central Airway Obstruction: A Pilot Study. Respiration 2022;101:666-74. [Crossref] [PubMed]
  72. Jantz MA, Omballi M, Alzghoul BN, et al. Utility of bronchoscopic intra-tumoral alcohol injection to restore airway patency. J Thorac Dis 2021;13:4956-64. [Crossref] [PubMed]
  73. DeMaio A, Sterman D. Bronchoscopic intratumoural therapies for non-small cell lung cancer. Eur Respir Rev 2020;29:200028. [Crossref] [PubMed]
  74. Ost DE, Ernst A, Grosu HB, et al. Complications Following Therapeutic Bronchoscopy for Malignant Central Airway Obstruction: Results of the AQuIRE Registry. Chest 2015;148:450-71. [Crossref] [PubMed]
  75. Qian HW, Zhang P, Wang X, et al. Survival and prognostic factors for patients with malignant central airway obstruction following airway metallic stent placement. J Thorac Dis 2021;13:39-49. [Crossref] [PubMed]
  76. Miyazawa T, Miyazu Y, Iwamoto Y, et al. Stenting at the flow-limiting segment in tracheobronchial stenosis due to lung cancer. Am J Respir Crit Care Med 2004;169:1096-102. [Crossref] [PubMed]
  77. Boyd M, Rubio E. The utility of interventional pulmonary procedures in liberating patients with malignancy-associated central airway obstruction from mechanical ventilation. Lung 2012;190:471-6. [Crossref] [PubMed]
  78. Ong P, Grosu HB, Debiane L, et al. Long-term quality-adjusted survival following therapeutic bronchoscopy for malignant central airway obstruction. Thorax 2019;74:141-56. [Crossref] [PubMed]
  79. Louie AV, Lane S, Palma DA, et al. Radiotherapy for intubated patients with malignant airway obstruction: futile or facilitating extubation? J Thorac Oncol 2013;8:1365-70. [Crossref] [PubMed]
  80. Macha HN, Becker KO, Kemmer HP. Pattern of failure and survival in endobronchial laser resection. A matched pair study. Chest 1994;105:1668-72. [Crossref] [PubMed]
  81. Dutau H, Guibert N. Therapeutic bronchoscopy in malignant central airway obstruction: is technical success always clinically relevant? J Thorac Dis 2022;14:794-6. [Crossref] [PubMed]
  82. Chhajed PN, Eberhardt R, Dienemann H, et al. Therapeutic bronchoscopy interventions before surgical resection of lung cancer. Ann Thorac Surg 2006;81:1839-43. [Crossref] [PubMed]
  83. Chhajed PN, Baty F, Pless M, et al. Outcome of treated advanced non-small cell lung cancer with and without central airway obstruction. Chest 2006;130:1803-7. [Crossref] [PubMed]
doi: 10.21037/med-22-44
Cite this article as: Powers RE, Schwalk AJ. Overview of malignant central airway obstruction. Mediastinum 2023;7:32.

Download Citation